

Casos clínicos
Manejo anestésico en paciente obstétrica con Taponamiento Cardiaco
Anesthetic management in obstetric patient with cardiac tamponade
Gaceta Médica Boliviana
Universidad Mayor de San Simón, Bolivia
ISSN: 1012-2966
ISSN-e: 2227-3662
Periodicidad: Semestral
vol. 44, núm. 1, 2021
Recepción: 11 Octubre 2020
Aprobación: 20 Abril 2021
Resumen: El taponamiento cardiaco es la acumulación de líquido dentro del saco pericárdico, lo que conlleva a un aumento de la presión intrapericardica, permitiendo el deterioro de la capacidad del corazón para llenarse y actuar como bomba. Entre sus causas tenemos a la tuberculosis, las colagenopatías, y el cáncer. En el embarazo se pueden enmascarar los signos y síntomas del taponamiento cardiaco por los cambios fisiológicos propios del embarazo. El Gold estándar para su detección es la ecocardiografía. El tratamiento del taponamiento cardiaco es la pericardiocentesis o el drenaje quirúrgico. Se presenta el caso de una paciente de 26 años con: embarazo de 32,6 semanas, trabajo de parto pretérmino, taponamiento cardiaco y post pericardiocentesis de 2 horas, para culminación de embarazo. El manejo anestésico es complejo tanto para la madre y el recién nacido, basándose en mantener estabilidad hemodinámica y posterior traslado a unidad de terapia intensiva.
Palabras clave: anestesia general, taponamiento cardiaco, anestesia obstétrica, cesárea.
Abstract: Cardiac tamponade is the accumulation of fluid within the pericardial sac, which leads to an increase in intrapericardial pressure, allowing the deterioration of the heart’s ability to fill and act as a pump. Among its causes are tuberculosis, collagen disease, and cancer. In pregnancy, the signs and symptoms of cardiac tamponade can be masked by the physiological changes of pregnancy. The gold standard of detection is echocardiography. Treatment of cardiac tamponade is pericardiocentesis or surgical. The case of a 26-year-old patient is presented with: a 32.6 for week pregnancy in preterm labor, cardiac tamponade and 2-hour post-pericardiocentesis, for culminate of pregnancy. Anesthetic management is complex for both the mother and the newborn, basing on maintaining hemodynamic stability and subsequent transfer to the intensive care unit.
Keywords: general anesthesia, cardiac tamponade, obstetrical anesthesia, cesarean section.
El taponamiento cardiaco es la acumulación de líquido dentro del saco pericárdico, que conduce a un aumento de la presión intrapericardica, permitiendo el deterioro de la capacidad del corazón para llenarse y actuar como bomba1. El líquido pericárdico normal es de 20 – 30 ml2.
En el taponamiento cardiaco, el corazón se encuentra deteriorado, con caída del gasto cardiaco y compromiso de la perfusión sistémica, representando así una urgencia médica, ya que si no es tratado a tiempo puede llevar a la muerte1.
Entre las causas de taponamiento cardíaco en la población adulta podemos encontrar: la presencia de pericarditis, tuberculosis, trauma, cáncer, colagenopatías, iatrogenia después de una cirugía cardiaca y procedimientos invasivos3. Durante el embarazo y puerperio, las causas son las mismas, pero su presentación es muy rara4.
El desarrollo del taponamiento cardíaco durante el embarazo o el periparto se debe a cambios hormonales combinados e inducidos en el tejido conectivo y el estrés hemodinámico2.
Las manifestaciones clínicas del taponamiento cardiaco pueden enmascararse durante la gestación debido al aumento fisiológico del volumen cardíaco durante el embarazo5.
El uso de la ecocardiografía transtorácica es el Gold estándar para la detección de taponamiento cardíaco, por tener alta sensibilidad y especificidad6, ya que permite la evaluación del miocardio con la medición del tamaño de la cámara cardiaca en las diferentes etapas del embarazo y en el puerperio7.
También cabe mencionar que no se recomienda la electrocardiografía para el diagnóstico de taponamiento cardiaco debido a su baja sensibilidad. Pero puede ser usada como estudio complementario para su correlación clínica por su alta especificidad8.
El tratamiento del taponamiento cardíaco es la Pericardiocentesis o el drenaje quirúrgico (pericardiotomía)9.
A continuación, se reporta el caso clínico de una paciente de 26 años en trabajo de parto pretérmino, post-pericardiocentesis de dos horas, para culminación del embarazo. Lo que permite realizar algunos comentarios sobre el manejo anestésico, debido a la poca frecuencia de su presentación y una descripción en la literatura que es escasa.
Presentación del caso
Paciente femenina de 26 años de edad quien cursa con un embarazo de 32,6 semanas por ecografía del servicio de Gineco-Obstetricia del Hospital Obrero N° 2 “Caja Nacional de Salud”, que en fecha 01 de junio de 2020 se solicita la interrupción de su embarazo. Paciente ingresa a quirófano con los diagnósticos de: Embarazo de 32,6 semanas por ecografía, fórmula obstétrica G2 P1 C0 A0, trabajo de parto pretérmino, taponamiento cardíaco, post pericardiocentesis de 2 horas y anemia moderada.
Entre sus antecedentes clínicos, paciente refiere hace una semana presencia de tos sin expectoración, asociada a dificultad respiratoria de manera progresiva a medianos esfuerzos, acompañada de edema en miembros inferiores, fóvea de dos cruces. Dos días previos a su intervención, se realiza su internación a Ginecobstetricia con posterior traslado a Unidad de Terapia Intensiva (UTI) para manejo y control de patología.
Antecedentes No Patológicos: desconoce alergias, no refiere tabaquismo ni consumo de alcohol.
Antecedentes Patológicos: Niega patología previa a la enfermedad actual.
Antecedentes Cardiovasculares: post pericardiocentesis - drenaje de líquido pericárdico de 1200 ml de aspecto citrino.
Antecedentes Hematológicos: Anemia moderada en tratamiento con Sulfato ferroso, un comprimido vía oral cada día.
Antecedente Gineco – Obstétricos: G1 P1 C0 A0;
Fecha de último periodo menstrual: 15 de octubre de 2019.
G1: Parto hace 6 años, Recién Nacido a término con un peso de 3200 gramos.
No refiere Antecedentes Anestésico - quirúrgicos.
Examen Físico post pericardiocentesis: paciente en regular estado general, afebril, ansiosa y álgida.
Signos vitales de: Presión Arterial (PA) = 130/73 mmHg, Frecuencia Cardiaca (FC) = 112 latidos por minuto, Frecuencia Respiratoria = 22 respiraciones por minuto, Saturación de oxígeno (SatO2) = 88 % a 90 % a aire ambiente, Temperatura = 36,5°C.
Mucosas: húmedas y pálidas.
Vía Aérea: Mallampati no valorable por la presencia de barbijo, distancia tiromentoneana > 6 cm, distancia externo-mentoneana > 10 cm, flexo-extensión de la columna cervical conservada.
Neurológico: consciente, orientada con Glasgow 15/15.
Corazón: rítmico, regular y taquisfigmia
Pulmones: ruidos respiratorios ligeramente disminuidos, estertores aislados.
Abdomen: Globoso a expensas de útero gestante, con altura uterina de 31 cm, Frecuencia Cardiaca Fetal: 131 latidos por minuto, Dinámica uterina presente
Extremidades: presencia de edema en miembros inferiores de +++/+++.
Clase funcional New York Heart Association (NYHA) II/IV.
Clasificación de la Sociedad Americana de Anestesiología ASA III “E”.
Exámenes complementarios:
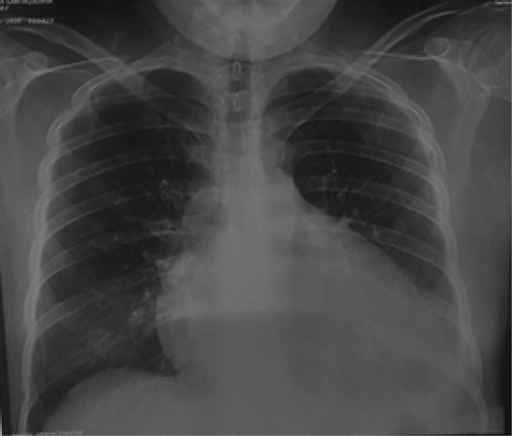
Radiografía de tórax (30/05/2020): se evidencia cardiomegalia III/IV con derrame pleural izquierdo. Partes óseas y blandas conservadas. Ver figura 1.

Electrocardiograma (31/05/2020): Ritmo sinusal, sin presencia de alternancia eléctrica. Ver figura 2.

Laboratorios de fecha 31 de mayo de 2020 y 03 de junio de 2020, se describen los datos alterados, los demás datos se encuentran dentro del valor de referencia. Ver tabla 1.
| HEMOGRAMA | VALOR NORMAL | ||
| 31/05/2020 | 03/06/2020 | ||
| Glóbulos rojos * | 3 280 000 | 3 080 000 | 4,00-5,80 |
| Hemoglobina | 8,8 g/dl | 8,8 g/dl | 11,1-17,4 g/dl |
| Hematocrito | 25,70% | 25,40% | 35-50 % |
| linfocitos | 4% | 6% | 20 - 40 |
| Granulocitos | 87% | 88% | 50 – 70 |
| Cayado | 8% | 3% | |
| QUÍMICA SANGUÍNEA | |||
| GOT | 74 Ul/l | - | 0 – 40 Ul/l |
| GPT | 32 Ul/l | - | 0 – 38 Ul/l |
| Fosfatasa alcalina | 1009 Ul/L | - | 65 – 300 Ul/l |
| LDH | 414 u/L | - | |
| albumina | - | 2.0 g/dl | 3,5 – 5 g/dl |
| Sodio | 135 mmol/l | 135 – 145 mmol/l | |
| OTROS | |||
| TP/INR | 10,1/1.0 | - | 10,1 seg/1.0 |
| Grupo Sanguíneo | O (+) | - | - |
| Prueba de VIH | No reactivo | - | - |
| - | - | ||
| Prueba de Hepatitis B-C | Negativo | - | - |
| EXAMEN DE ORINA | |||
| Densidad | 1020 | - | - |
| Proteínas | (++) | - | - |
| Sangre (Hb) | (+) | - | - |
| leucocitos | 3xC | - | - |
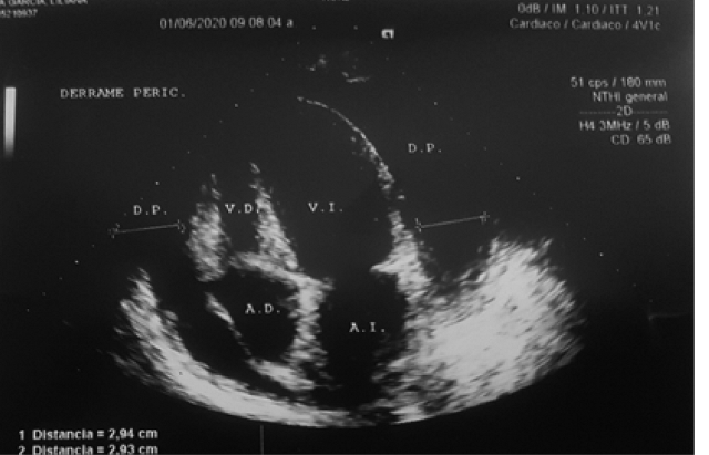
Ecocardiografía bidimensional y Doppler (01/06/2020): función diastólica de ventrículo izquierdo normal, insuficiencia mitral y tricuspídea leve, signos indirectos de hipertensión pulmonar y signos sugerentes de taponamiento cardiaco. Ver figura 3.

Ecocardiograma post pericardiocentesis (02/06/2020): Hipertensión pulmonar leve a moderada con repercusión hemodinámica, derrame pericárdico leve sin repercusión hemodinámica. Ver figura 4.

Se ingresa a quirófano posterior a dos horas de la pericardiocentesis, debido a que se desencadenó dinámica uterina. Se planificó anestesia general por las condiciones hemodinámicas de la paciente y para evitar mayores repercusiones, tanto materna como fetal, durante la inducción de la anestesia general. Se procedió a la monitorización tipo I con PA = 147/79 mmHg, FC = 114 lpm, SatO2 de 90 % a aire ambiente y con oxígeno suplementario a 2 litros de 96 %. Al mismo tiempo se preparó e identificó el uso de los medicamentos para la inducción, estos fueron remifentanilo, ketamina y succinilcolina. Se planteó inducción de secuencia rápida. Se preparó también noradrenalina y adrenalina como vasopresores en caso de hipotensión, y la disponibilidad del carro azul por la alta complejidad y posibles desenlaces a presentarse. Se intubo a la paciente con Tubo endotraqueal N° 7.0 y se proveyó asistencia ventilatoria. Para el mantenimiento se utilizó sevofluorane, remifentanilo y atracurio. Se controló la administración de líquidos intravenosos de manera estricta. Se obtuvo recién nacido de sexo femenino, con APGAR de 8 al minuto y 9 a los cinco minutos, peso de 2199 gramos. Posterior al nacimiento se administró oxitocina 2 UI de manera lenta y progresiva. Se tuvo un sangrado aproximado de 600 ml, por lo cual se decide la administración de un concentrado de glóbulos rojos. Para el manejo de la analgesia se administró tramadol y los agentes de reversión fueron neostigmina y atropina. Posterior a la intervención quirúrgica se trasladó a la paciente a UTI con monitorización tipo I, con apoyo complementario de oxígeno.
Se realizó manejo multidisciplinario de la paciente puérpera, siendo evaluada por: ginecólogos, cardiólogos y médicos internistas e intensivistas. La paciente fue dada de alta a los 4 días posteriores a la intervención quirúrgica.
Discusión
La causa del taponamiento cardíaco en la descripción de la paciente no se pudo determinar claramente. El manejo perioperatorio destaca un enfoque multidisciplinario de las diferentes especialidades para el beneficio del binomio madre – niño, como trabajo en equipo y por ende una comunicación clara entre profesionales.
Es necesario conocer las posibles complicaciones que pueden presentarse después de una pericardiocentesis, como ser la punción o ruptura del miocardio o de los vasos coronarios, pudiendo causar arritmias o infarto de miocardio. Además, se puede perforar el estómago, los pulmones o el hígado, así como afirma Odor y col1 . Se menciona esto debido a que posterior a la punción no se contaba con ningún control de estudio imagenológico que nos oriente a una posible complicación en la paciente.
El plan anestésico requiere una consideración cuidadosa de la evaluación e investigación preoperatoria realizada que incluye una obtención de la historia clínica completa, un examen clínico minucioso10,11, y su atención en un tercer nivel por las condiciones que ameritan.
En la opinión de Miranda y col12 expresa la elección de las drogas inductoras, el manejo de la ventilación y la administración de volumen. Al mismo tiempo, Madhivathanan y col13 proponen mantener una técnica anestésica equilibrada con uso de agentes inhalatorios, opioides, ketamina y relajantes musculares de acción corta o intermedia con monitoreo de la misma.
A pesar que no existe evidencia de cómo manejar este tipo de paciente, nos basamos en el manejo de un paciente con taponamiento cardiaco. Correia6 señala el uso de inductores intravenosos si el paciente se encuentra estable, e infusión de vasopresores para mantener la presión arterial y evitar uso de depresores respiratorios.
Desde la posición de Elgebaly y col7, se da a conocer que las manifestaciones del taponamiento cardiaco pueden enmascararse debido a los cambios hemodinámicos que ocurren en un embarazo normal. En la paciente lo único llamativo que se observó fue la Frecuencia Cardiaca elevada incluso después de la pericardiocentesis, aunque podemos asociarla también al dolor que presentaba por el trabajo de parto.
Se usó Ketamina como parte de la inducción, así como sugieren Miranda y col12 y Correia6 donde los agentes recomendados son ketamina y etomidato, por tener menos efectos vasodilatadores.
Por otro lado, el uso de propofol se apoyó en la opinión de Rahman y col14 que sugieren el uso actual del propofol para inducción de secuencia rápida (ISR) en la práctica obstétrica. Mientras que, para Khanna y col15 consideran que se debe mantener la resistencia vascular sistémica dentro de parámetros normales.
Con respecto a los agentes inhalatorios, el sevofluorane se administró en concentraciones bajas, de la misma manera que ratifica Rahman y col,14 ya que su uso a concentraciones elevadas produce atonía uterina e hipotensión materna, llevando a acidosis fetal.
Para el soporte ventilatorio se evitó el uso de Presión Positiva al Final de la Espiración (PEEP), debido a que causa disminución del retorno venoso, produciendo disminución de la presión arterial, por lo que se mantuvo a la paciente con asistencia ventilatoria con saturación de oxígeno por encima de 92 %, siguiendo las pautas de O´Connor y col,16 que proponen evitar el uso de ventilación con presión positiva, ya que minimiza la precipitación de colapso cardiovascular.
Se tomó la decisión de no usar vasopresores debido a las presiones arteriales de la paciente que se encontraban entre 135/71 mmHg – 142/74 mmHg en todo el período transoperatorio. Cabe mencionar que ya se tenía preparada noradrenalina para infusión, esto como medida preventiva con el proposito de anticiparnos a mantener los objetivos hemodinámicos estables durante la inducción anestésica. En nuestro país no contamos con fenilefrina como alternativa.
En cuanto al uso de oxitocina, se administró en bolo de manera lenta, sobre todo por ser una droga vasoactiva y por los cambios hemodinámicos que produce. Garza y col17 recomiendan utilizar dosis bajas y administración muy lenta en bolo o en infusión controlada de oxitocina.
Se debe tener disponible un desfibrilador debido a un posible paro cardiaco, teniendo en cuenta que el taponamiento cardiaco es una causa de paro cardiaco, como alude Lipman y col18 y Lilaonitkul y col19, y desde el punto de vista de Madhivathanan y col13 deben estar colocados los electrodos de desfibrilación antes de la inducción.
Tuvimos las siguientes deficiencias en el desarrollo de este caso clínico; no incluir la monitorización Invasiva de la Presión Arterial (PAI) y Catéter Venoso Central (CVC). No obstante, el tiempo fue bastante limitado. A juicio Elgebaly7 describe el uso de la monitorización invasiva para detectar los cambios hemodinámicos inmediatos después de la anestesia. Y Madhivathanan y col13 refieren que el uso de PAI y CVC son esenciales.
Otra deficiencia a mencionar es la falta de uso de la Ecocardiografía Transtorácica (ETT) transoperatoria, siendo para Villegas y col20 una herramienta de elección tanto de diagnóstico como de valoración hemodinámica constante del paciente.
El manejo anestésico en el taponamiento cardiaco es complejo, desde tener una evaluación preanestésica completa, mantener una estabilidad hemodinámica en el transoperatorio aunado a obtener un recién nacido en óptimas condiciones, con posterior traslado cuidadoso de la paciente a Unidad de Terapia Intensiva.
La paciente permaneció dos días más en UTI y posteriormente fue trasladada a salas generales, con alta hospitalaria a los 4 días postoperatorios.
Referencias
1. Odor P, Bailey A. Cardiac Tamponade;Tutorial Week of WFSA. 2013; 283(1669). [Internet] [Citado el 5 de septiembre de 2020] Disponible en: https://resources.wfsahq.org/atotw/cardiac-tamponade-anaesthesia-tutorial-of-the-week-283/
2. Regitz-zagrosek V, Blomstrom C, Borghi C, Cifkova R, Ferreira R, Foidart J-M, et al. ESC GUIDELINES ESC Guidelines on the management of cardiovascular diseases during pregnancy The Task Force on the Management of Cardiovascular Diseases during Pregnancy of the European Society of Cardiology ( ESC ). Eur Heart J. 2011; 32:3147–97. [Citado el 5 de septiembre de 2020] Disponible en: https://doi.org/10.1093/eurheartj/ehr218
3. Adler Y, Israel C, Brucato A, Baro G, France PG, Germany KK, et al. 2015 ESC Guidelines for the diagnosis and management of pericardial diseases The Task Force for the Diagnosis and Management of Pericardial Diseases of the European Society of Cardiology ( ESC ) Endorsed by : The European Association for Cardio-Thoracic S; Eur Heart J. 2015;36:2921–64. [Citado el 5 de septiembre de 2020] [Internet] Disponible en: https://air.unimi.it/retrieve/handle/2434/630130/1182840/ehv318%20ESC%20GL.pdf
4. Matsuki R, Nakago S, Takaoka H, Oishi T, Kotsuji F. Cardiac tamponade in pregnancy during the treatment of severe pre-eclampsia: Report of a case; J Obstet Anaesth Crit Care. 2014; 40(3):826–8. [Internet] [Citado el 4 de septiembre de 2020] Disponible en: https://doi.org/10.1111/jog.12242
5. Diagnóstico y tratamiento de pericarditis en el adulto. Guía de evidencia y recomendaciones: Guía Práctica Clínica México, IMSS. 2017. 1–52. 20/06/2017 [Internet] [Citado el 18 de septiembre de 2020]. Disponible en: http://www.cenetec.salud.gob.mx/contenidos/gpc/catalogoMaestroGPC.html
6. Correia M. Anaesthesia for Patients with Pericardial Disease. S Afr J Anaesth Analg. 2018;24:S67–78. [Citado el 5 de septiembre de 2020] [Internet] Disponible en: https://www.intechopen.com/books/inflammatory-heart-diseases/anaesthesia-for-patients-with-pericardial-disease
7. Elgebaly AS, Elhawary T. General anaesthesia versus combined spinal epidural anaesthesia in the presence of mild to moderate pericardial effusion : A study of volunteers undergoing caesarean section. Egypt J Anaesth. 2013;29(1):19–24. [Citado el 5 de septiembre de 2020] [Internet] Disponible en : http://dx.doi.org/10.1016/j.egja.2012.08.005
8. Ang KP, Nordin R Bin, Lim SC, Lee CY, Lu HT. Diagnostic value of electrocardiogram in cardiac tamponade. Med J Malaysia.2019; 74(1):51–6. [Citado el 5 de septiembre de 2020] [Internet] Disponible en: http://www.e-mjm.org/2019/v74n1/electrocardiogram.pdf
9. Ristić AD, Imazio M, Adler Y, Anastasakis A, Badano LP, Brucato A, et al. Triage strategy for urgent management of cardiac tamponade : a position statement of the European Society of Cardiology Working Group on Myocardial and Pericardial Diseases. Eur Heart J. 2014 ; 35: 2279–84. [Citado el 5 de septiembre de 2020] [Internet] Disponible en: https://doi.org/10.1093/eurheartj/ehu217
10. Grocott HP, Gulati H, Srinathan S, Mackensen B. Anesthesia and the patient with pericardial disease. Can J Anaesth canadien. 2011; 58(10):952–66. [Citado el 5 de septiembre de 2020] [Internet] Disponible en: https://doi.org/10.1007/s12630-011-9557-8
11. Kinthala S, Fakoory M, Greaves T, Kandamaran L, Thomas H, Moe S. Subcapsular liver hematoma causing cardiac tamponade in HELLP síndrome. Int J Obstet Anesth. 2012; 21(3):276–9. [Citado el 5 de septiembre de 2020] [Internet] Disponible en : http://dx.doi.org/10.1016/j.ijoa.2012.04.007
12. Miranda P, Carvajal C. TAPONAMIENTO CARDÍACO. Rev Chil Anestesiol. 2010 ; 39: 85–92. [Citado el 5 de septiembre de 2020] [Internet] Disponible en: https://revistachilenadeanestesia.cl/consideraciones-anestesicas-en-el-manejo-del-taponamiento-cardiaco/
13. Madhivathanan PR, Corredor C, Smith A. Perioperative implications of pericardial effusions and cardiac tamponade. BJA Educ. 2020; 20(7):226–34. [Citado el 5 de septiembre de 2020] [Internet] Disponible e: https://doi.org/10.1016/j.bjae.2020.03.006
14. Rahman R, Wilson S. Accidental Awareness during General Anaesthesia ( AAGA ) in Obstetrics. Tutorial weekend of WFSA. 2018; 1–7. [Citado el 20 de septiembre de 2020] [Internet] Disponible en: https://resources.wfsahq.org/wp-content/uploads/388_english-1.pdf
15. Khanna S, Maheshwari K. Hemopericardium and Acute Cardiac Tamponade. Anesthesiology. 2018; 128(5):2018. [Citado el 6 de septiembre de 2020] [Internet] Disponible en: https://doi.org/10.1097/ALN.0000000000001999
16. Connor CJO, Tumar K. The Intraoperative Management of Patients with Peri cardial Tamponade. Anesthesiol Clin. 2010; 28(1):87–96. [ Citado el 4 de septiembre de 2020] [Internet] Disponible en: http://dx.doi.org/10.1016/j.anclin.2010.01.011
17. Garza-hinojosa A, González-cordero G. Cambios hemodinámicos y electrocardiográficos con el uso de oxitocina en bolo durante la cesárea. Rev Mex Anes. 2015; 38 (1):257–62. [Citado el 20 de septiembre de 2020] [Internet] Disponible en: https://www.medigraphic.com/cgi-bin/new/resumen.cgi?IDARTICULO=58870
18. Lipman S, Cohen S, Einav S, Jeejeebhoy F, Mhyre JM, Morrison LJ, et al. The Society for Obstetric Anesthesia and Perinatology Consensus Statement on the Management of Cardiac Arrest in Pregnancy. Anesth Analg. 2014; 118(5):1003–16. [Internet] [Citado el 6 de septiembre de 2020] Disponible en: https://doi.org/10.1213/ANE.0000000000000171
19. Lilaonitkul M, Boyd N. Paediatric & Obstetric Anaesthesia. World Federation of Societies of Anaesthesiologists. 2015; 1–66. [Internet] Disponible en: https://resources.wfsahq.org/wp-content/uploads/SAFE-Pocket-Handbook-2016-Full.pdf
20. Villegas P, Cordova N, Rebolledo E, Fuentealba R, Gonzalez F, Sanhueza E. Ecocardiografía transtorácica perioperatoria en diagnóstico y manejo de taponamiento cardíaco en paciente con colapso hemodinámico, a propósito de un caso. Rev Chil Anestesiol. 2014; 43 (1):201-13. [Citado el 22 de septiembre de 2020] [Internet] Disponible en: https://revistachilenadeanestesia.cl/ecocardiografia-transtoracica-perioperatoria-en-diagnostico-y-manejo-de-taponamiento-cardiaco-en-paciente-con-colapso-hemodinamico-a-proposito-de-un-caso/
Enlace alternativo
http://www.scielo.org.bo/scielo.php?script=sci_arttext&pid=S1012-29662021000100019&lng=es&nrm=iso (html)

