

PRESENTACIÓN DE CASOS
Osteomielitis vertebral neonatal. Presentación de un caso y revisión bibliográfica
Neonatal Vertebral Osteomyelitis. Case Report and Literature Review
Revista de la Asociación Argentina de Ortopedia y Traumatología
Asociación Argentina de Ortopedia y Traumatología, Argentina
ISSN-e: 1852-7434
Periodicidad: Bimestral
vol. 90, núm. 1, 2025
Recepción: 19 septiembre 2024
Aprobación: 18 diciembre 2024
Autor de correspondencia: manzonepatricio@hotmail.com

Cómo citar este artículo: Manzone P, Ovejero MP. Osteomielitis vertebral neonatal. Presentación de un caso y revisión bibliográfica. Rev Asoc Argent Ortop Traumatol 2025;90(1):80-89. https://doi.org/10.15417/issn.1852-7434.2025.90.1.2037
Resumen: La osteomielitis vertebral neonatal es una enfermedad grave, muy infrecuente, de tratamiento difícil, que excepcionalmente requiere de cirugía a cielo abierto en la etapa aguda. Se presenta el caso de un recién nacido de 25 días que ingresó en la Unidad de Cuidados Intensivos Neonatales por una infección respiratoria con mala evolución, sin respuesta al tratamiento convencional y que desarrolló una espondilodiscitis cervical inferior y torácica alta con empeoramiento progresivo y mal estado general. Requirió una limpieza quirúrgica a cielo abierto y reconstrucción por vía anterior, además de antibioticoterapia secuencial (por vía intravenosa-oral) prolongada. En casos seleccionados, las osteomielitis vertebrales neonatales pueden requerir un tratamiento a cielo abierto para curar la infección aguda. Esto no protege, sin embargo, de la posibilidad de deformidades como secuelas.
Palabras clave: Neonatal, lactante, osteomielitis vertebral, espondilodiscitis cervical.
Abstract: Neonatal vertebral osteomyelitis is a severe and extremely rare condition that is challenging to treat and rarely requires open surgery during the acute phase. We present a case of a 25-day-old neonate who was admitted to the Neonatal Intensive Care Unit due to a respiratory infection with poor progression and no response to conventional treatment. The patient subsequently developed lower cervical and upper thoracic spondylodiscitis, with progressive deterioration and worsening general condition. Open surgical debridement and anterior reconstruction were performed, along with prolonged sequential antibiotic therapy (intravenous to oral). In selected cases, neonatal vertebral osteomyelitis may require open surgical treatment for the resolution of acute infection. However, this approach does not eliminate the risk of residual deformities.
Keywords: Neonatal, vertebral osteomyelitis, pyogenic spondylodiscitis, infant.
INTRODUCCIÓN
La espondilodiscitis neonatal u osteomielitis vertebral neonatal es un cuadro grave, de baja frecuencia, cuyo tratamiento es técnica y éticamente muy difícil, y la incidencia de secuelas y complicaciones es alta.1 Es excepcional que, a nivel cervical o cervico-torácico, se requiera un tratamiento quirúrgico en la etapa aguda.2,3
Se presenta y describe un caso de espondilodiscitis neonatal cervico-torácica tratado con cirugía en la etapa aguda. Se discuten las posibilidades diagnósticas y terapéuticas a tan corta edad, y se revisa la bibliografía.
CASO CLÍNICO
Varón de 25 días de vida, sin antecedentes patológicos en el embarazo o el parto. Fue internado por síntomas febriles debido a una infección respiratoria, y se le indicó un tratamiento antibiótico convencional. Durante la internación en la Unidad de Cuidados Intensivos Neonatales, evolucionó hacia un deterioro progresivo con disnea, estado séptico y una masa palpable de partes blandas supraclavicular izquierda, que se podía observar en las radiografías simples (Figura 1A), así como cierta alteración de la alineación de la columna cervico-torácica (Figura 1B). Requirió intubación; se punzó la masa supraclavicular, cuyo análisis detectó Staphylococcus aureus sensible a la meticilina, mientras que, de las secreciones del tubo endotraqueal, se obtuvo Klebsiella pneumoniae.

El cuadro respiratorio continuó deteriorándose por lo que se realizó una tomografía computarizada helicoidal con reconstrucción (Figura 2).

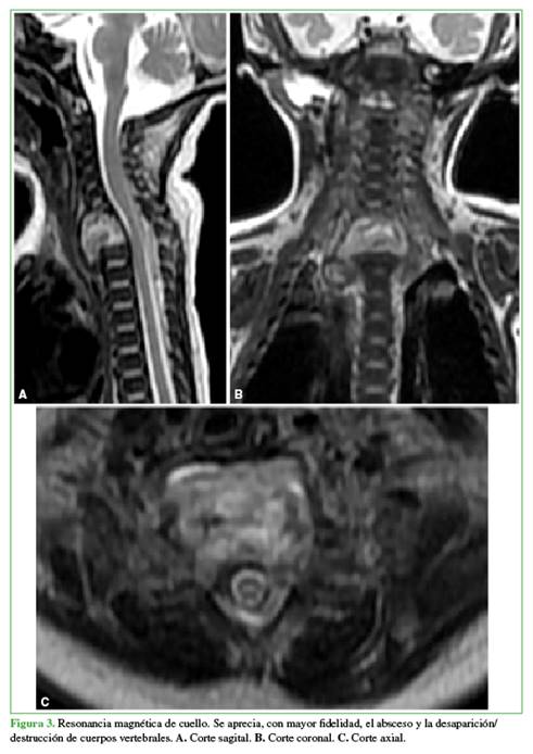
Se visualizó un importante absceso retrofaríngeo y retrotraqueal, asociado a osteólisis de los cuerpos vertebrales cervicales inferiores, con lesión de tipo infeccioso en el raquis cervical inferior y torácico superior. Para completar la evaluación se solicitó una resonancia magnética que confirmó el absceso y la destrucción infecciosa de los cuerpos vertebrales de T1, C7 y C6 (este último parcialmente) (Figura 3).

El cuadro clínico se interpretó como osteomielitis vertebral neonatal grave en el contexto de una sepsis, con deterioro respiratorio progresivo, que no respondía a la medicación antibiótica. Se decidió, entonces, el tratamiento quirúrgico del foco infeccioso a través de un abordaje cervical anterolateral izquierdo extendido, dado que, por la elasticidad de los tejidos neonatales, se podría llegar al nivel distal con retracción adecuada y, en caso de dificultad, resecar la porción lateral izquierda del manubrio esternal y la extremidad medial de la clavícula izquierda. El procedimiento se llevó a cabo a las 8 semanas de vida, y esto último no fue necesario, ya que, como se había previsto, se logró visualizar ampliamente la zona operatoria, y se pudo hacer un buen desbridamiento que dejó una cavidad importante.
Se utilizó monitoreo neurofisiológico multimodal continuo intraoperatorio, que fue muy útil, porque, antes de la incisión, los potenciales motores estaban alterados, no así los potenciales sensitivos (Figura 4).

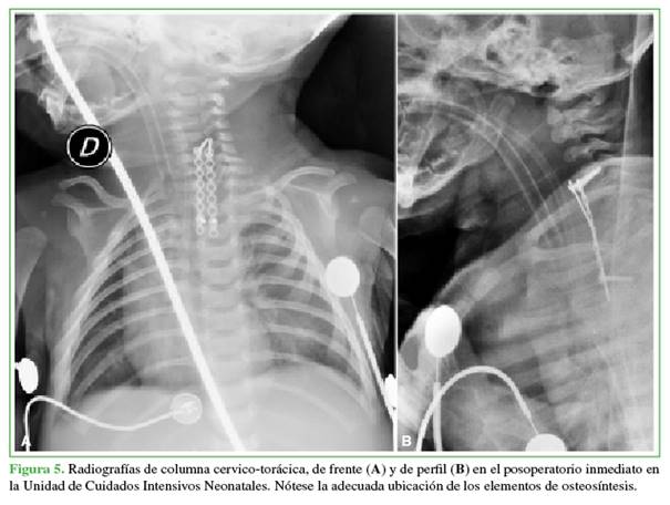
Sin embargo, el uso del monitoreo impidió la remoción de un fragmento de peroné para injerto en tirante, y se debió recurrir, en su lugar, a un injerto de costilla como tirante y como astillas (chips) óseas. Se suplementó con 2 miniplacas de titanio para brindar algo de estabilidad al constructo. El control final con el arco en C fue satisfactorio, así como las radiografías en el posoperatorio inmediato (Figura 5).
Al término de la cirugía, se le colocó un collar blando que se cambió al tercer día por una ortesis hecha a medida craneo-cervico-torácica con fronda cefálica frontal, también en material blando (Figura 6).


Durante la cirugía, se inició la administración de meropenem y vancomicina luego de la extracción de muestras para cultivo. Como dichas muestras desarrollaron Staphylococcus aureus resistente a la meticilina y sensible a vancomicina, se continuó con este fármaco asociado a amikacina por vía parenteral, durante 4 semanas, para después cambiar a trimetoprima-sulfametoxazol y rifampicina por vía oral, durante 8 semanas más.
A los 3 meses de la cirugía, el aumento de peso y el desarrollo psiconeurológico eran normales, no había deformidad raquídea visible, los análisis de control eran normales y el uso de la ortesis era continuo.
Sin embargo, a los 8 meses de la intervención, aunque el paciente no tenía síntomas, se observó un desmontaje de la osteosíntesis en los controles radiográficos, sin cifosis significativa, con desarrollo normal, sin signos ni síntomas neurológicos y aún con el uso continuo de la ortesis (Figura 7).
El paciente adquirió la marcha independiente al año y 3 meses de edad.

Tras 1 año y 10 meses de la operación (2 años de vida), el desarrollo siguió siendo normal, sin evidencia alguna de daño neurológico ni deformidad visible externamente. La tomografía computarizada de control (Figura 8) mostró una fusión intersomática, con un puente óseo anterior importante, pero con una cifosis segmentaria asociada a leve hiperlordosis suprayacente. El desmontaje de la instrumentación continuaba igual sin eventos indeseables ni sintomatología dependiente de dicho desmontaje: no había disfagia, tos, dolor cervical, disfonía u otra alteración. Se ha programado una cirugía de revisión y complementaria para evitar la progresión de dicha cifosis con el crecimiento remanente.

DISCUSIÓN
La prevalencia de la espondilodiscitis neonatal es sumamente baja; en los centros de referencia, llega a solo 7 de cada 1000 admisiones en la Unidad de Cuidados Intensivos Neonatales.4 La incidencia es de alrededor del 0,40% en los recién nacidos vivos.5 Si bien los prematuros suelen tener un riesgo más alto, también se ha descrito en recién nacidos sanos en quienes se presentó entre las 2 y 4 semanas de vida,6 como en nuestro caso.
Hace 45 años, Ogden7 publicó la patogenia de la osteomielitis vertebral neonatal: en los recién nacidos, existen pequeños capilares que atraviesan las placas de crecimiento vertebrales permitiendo la extensión de la infección y la contaminación del disco y del cuerpo vertebral. El hueso cortical del recién nacido y del lactante es fino, débil y laxo, está constituido predominantemente por tejido óseo inmaduro que permite evitar la presión causada por la acumulación de material de la infección, pero promueve su rápida diseminación a la región subperióstica. Por lo tanto, no se produce un secuestro grande, ya que no ocurre un infarto extenso de la cortical o, si se produce, es rápidamente reabsorbido por la importante irrigación presente en el neonato.6 Lo que sí hay es una necrosis de las placas vertebrales debido a la obstrucción de los capilares causada por los émbolos sépticos y se puede formar un gran absceso subperióstico.
Se han publicado casos de abscesos retrofaríngeos en recién nacidos y lactantes, que pueden presentarse con masas de partes blandas en el cuello,8 como en nuestro caso. En las tomografías computarizadas, se suelen visualizar otras lesiones asociadas,9 y se pueden complicar con espondilodiscitis por la vecindad y producir déficit neurológico.8
La presentación clínica de la espondilodiscitis del recién nacido y del lactante habitualmente incluye fiebre alta, señales de sepsis, irritabilidad o dolor, sobre todo, durante las movilizaciones y el amamantamiento, y retraso del desarrollo.10 Ante un recién nacido prematuro, de bajo peso, séptico, con internación prolongada en la Unidad de Cuidados Intensivos Neonatales e irritabilidad o dolor con los movimientos del tronco, se debe sospechar una osteomielitis vertebral piógena.4,10,11,12,13
La gravedad de las lesiones agudas y crónicas que puede provocar esta entidad es, tal como lo definen Pershin y Mushkin, “una bomba de tiempo”.1
Si bien la ecografía y la radiología convencional pueden ser de alguna utilidad para el diagnóstico de esta enfermedad, la resonancia magnética de columna es el estudio diagnóstico de elección por su mayor sensibilidad y especificidad. Permite evaluar y diferenciar la destrucción ósea y discal, y delimitar la existencia de abscesos paravertebrales.12 En nuestro caso, el uso de la tomografía computarizada antes de la resonancia se debió a la disponibilidad en la institución; sin embargo, fue muy útil para mostrar la lesión y evaluar la destrucción ósea (Figura 2).
Hay pocos reportes publicados sobre el tratamiento de este cuadro en la etapa aguda y con diferentes tipos de abordajes: aquellos que solo indican antibióticos e inmovilización con ortesis,14,15 los que evacúan el absceso por punción y siguen con tratamiento ortopédico,16,17,18 quienes efectúan drenaje y desbridamiento a cielo abierto2 o los que realizan solo tratamiento quirúrgico en la fase crónica cuando la infección se curó (por doble abordaje o por fusiones posteriores repetidas con abordaje anterior);1,18,19casi todos los casos publicados corresponden a lactantes mayores o niños de 1 o 2 años. Nuestro caso es notorio, porque el paciente fue operado en la etapa aguda, a las 8 semanas de vida: el drenaje con limpieza y desbridamiento, junto con la reconstrucción anterior facilitaron la rápida curación y la mejoría. El tratamiento secuencial con antibióticos por vía intravenosa y el cambio a la vía oral, de probada eficacia en este grupo de pacientes, completó la curación.20
La instrumentación cervical y de columna torácica alta en niños, por lo general, no está exenta de complicaciones, sobre todo cuanto más pequeños son los niños.21 Si bien se ha utilizado con éxito en la columna torácica alta en niños <2 años,22 existen pocos reportes exitosos en menores de 1 año,3 y no hemos encontrado comunicaciones de uso de implantes por vía anterior en recién nacidos. En nuestro caso, el agregado de un implante de este tipo brindó mayor seguridad al constructo intraoperatorio (Figura 5) y, aunque hubo un desmontaje parcial (Figura 7), las placas permitieron mantener los injertos en su sitio hasta la consolidación del foco (Figura 8).
La complicación más frecuente de la enfermedad, fuera del déficit neurológico, es la disolución de los cuerpos vertebrales que lleva a una cifosis, muchas veces angular, asimilable a una cifosis congénita por aplasia de cuerpos vertebrales, y que requiere de cirugías reconstructivas generalmente por doble abordaje.1,23 Una vez curada la infección, si bien no hay muchos reportes a largo plazo con controles al final del crecimiento, esta deformidad por su gravedad y la corta edad de los pacientes con importante potencial de progresión, puede equipararse a la evolución de la cifosis pótica pediátrica24 y se pueden utilizar los mismos criterios para decidir sobre procedimientos adicionales. En nuestro caso, la deformidad residual que puede avanzar, con el consiguiente riesgo de deterioro neurológico por su ubicación (unión cervico-torácica y columna torácica alta)25 y el déficit ostensible de crecimiento de la parte anterior del segmento afectado (secundario a la destrucción de los cuerpos vertebrales y sus fisis), nos llevan a programar una segunda intervención (Figura 8).
CONCLUSIONES
Las osteomielitis vertebrales neonatales en casos seleccionados pueden requerir de una cirugía a cielo abierto para curar la infección aguda. Sin embargo, esto no protege de la posible deformidad como secuela y es obligatorio el seguimiento del paciente hasta el final del crecimiento.
BIBLIOGRAFÍA
1. Pershin A, Mushkin A. Spinal osteomyelitis as a manifestation of neonatal sepsis: the Time Bomb. Global Spine J 2016;6(1_suppl):s-0036-1582792-s-0036-1582792. https://doi.org/10.1055/s-0036-1582792
2. Sharma RR, Sethu AU, Mahapatra AK, Pawar SJ, Nath A. Neonatal cervical osteomyelitis with paraspinal abscess and Erb’s Palsy: A case report and brief review of the literature. Pediatr Neurosurg 2000;32(5):230-3. https://doi.org/10.1159/000028943
3. Glotzbecker MP, Wasser AM, Troy MJ, Proctor M, Emans JB. Neonatal C1 to C2 osteomyelitis leading to instability and neurological decline: Novel treatment with occiput-C1-C2 fusion and occiput to thorax growing rods. A case report. J Pediatr Orthop 2015;35(4):379-84. https://doi.org/10.1097/BPO.0000000000000309
4. Berberian G, Firpo V, Soto A, Lopez Mañan J, Torroija C, Castro G et al. Osteoarthritis in the neonate: risk factors and outcome. Braz J Infect Dis 2010;14(4):413-8. https://doi.org/10.1590/S1413-86702010000400018
5. Coto Cotallo GD, Solís Sánchez G, Crespo Hernández M, Ramos Aparicio A, Bousoño García C, Orejas R-Arango G. Neonatal osteomyelitis. Study of a series of 35 cases. An Esp Pediatr 1990;33(5):429-34. PMID: 2096756
6. Kiechl-Kohlendorfer U, Griesmaier E. Neonatal osteomyelitis. En: Resch B (ed). Neonatal bacterial infection. Rijeka, Croatia: InTech; 2013. https://doi.org/10.5772/54320
7. Ogden JA. Pediatric osteomyelitis and septic arthritis: the pathology of neonatal disease. Yale J Biol Med 1979;52(5):423. PMID: 524924
8. Mutlu M, Selim D, Yakup A. Deep neck abscess in neonatal period: case report and review of literature. Int J Pediatr Otorhinolaryngol 2014;78(4):577-82. https://doi.org/10.1016/j.ijporl.2014.01.015
9. Mishra A, Yadav PK, Mishra A, Mallick AK. Retropharyngeal abscess presenting as stridor in a 35 days male infant: A case report. Asian J Pediatr Res 2022;8(3):10-4. https://doi.org/10.9734/ajpr/2022/v8i330243
10. Munhoz Da Rocha LE, Conrad S, Abreu de Aguiar C, Müller Ávila L. Paper 159: Neonatal spondylodiscitis: Case series and literature review. 22nd IMAST, July 8-11, 2015, Kuala Lumpur, Malaysia; p. 173.
11. Wong M, Isaacs D, Howman-Giles R, Uren R. Clinical and diagnostic features of osteomyelitis occurring in the first three months of life. Pediatr Infect Dis J 1995;14(12):1047-53. https://doi.org/10.1097/00006454-199512000-00004
12. Offiah AC. Acute osteomyelitis, septic arthritis and discitis: differences between neonates and older children. Eur J Radiol 2006;60(2):221-32. https://doi.org/10.1016/j.ejrad.2006.07.016
13. Decembrino L, Decembrino N, Stronati M, Barria RM. Neonatal osteomyelitis. En: Barría RM (ed.). Selected topics in neonatal care. Rijeka, Croatia: InTech; 2018, p. 97-107. https://doi.org/10.5772/65564
14. Villalobos AF, Sanz Marcos N, Ventura Gómez N, García García JJ. Osteomielitis vertebral neonatal con afectación discal. An Pediatr (Barc) 2010;73(6):368-9. https://doi.org/10.1016/j.anpedi.2010.08.002
15. Ben-Meir E, Rubinshtein M, Pessach I, Barkai G, Keller N, Hoffman C, et al. Neonatal cervical osteomyelitis with bilateral upper limb paresis. Pediatr Infect Dis J 2017;36(10):1013-5. https://doi.org/10.1097/INF.0000000000001618
16. van Dalen IV, Heeg M. Neonatal infectious spondylitis of the cervical spine presenting with quadriplegia: A case report. Spine (Phila PA 1976) 2000;25(11):1450-2. https://doi.org/10.1097/00007632-200006010-00019
17. Tomaszewski R, Bijata W. Acute haematogenous upper cervical osteomyelitis in neonates: a report of two cases. J Bone Joint Surg Br 2011;93(6):849-52. https://doi.org/10.1302/0301-620X.93B6.25857
18. Tsirikos AI, Tome-Bermejo F. Spondylodiscitis in infancy. J Bone Joint Surg Br 2012;94(10):1399-1402. https://doi.org/10.1302/0301-620X.94B10.29602
19. Romano S, Vittoria F, Cataruzzi E, Barbi E, Carbone M. Infectious spondylodiscitis and kyphosis correction in an infant: A case report and review of the literature. Ital J Pediatr 2021;47(1):152. https://doi.org/10.1186/s13052-021-01106-4
20. Ecury-Goossen G, Huysman MA, Verhallen-Dantuma JC, Man P. Sequential intravenous-oral antibiotic therapy for neonatal osteomyelitis. Pediatr Infect Dis J 2009;28(1):72-3. https://doi.org/10.1097/INF.0b013e318189a90e
21. Sotomayor HE, Remondino R, Tello C, Galaretto E, Francheri I, Bersusky E, et al. Instrumentación cervical en pacientes menores de 10 años. Rev Asoc Argent Ortop Traumatol 2017;82(3):220-30. https://doi.org/10.15417/616
22. Egea-Gámez RM, Galán-Olleros M, González-Menocal A, Martínez-González C, González-Díaz R. Surgical treatment for advanced thoracic spinal tuberculosis in infants: case series and literature review. Int J Spine Surg 2022;16(2):393-403. https://doi.org/10.14444/8220
23. Eismont F, Bohlman H, Soni P, Goldberg V, Freehafer A. Vertebral osteomyelitis in infants. J Bone Joint Surg Br 1982;64-B(1):32-5. https://doi.org/10.1302/0301-620X.64B1.7068717
24. Rajasekaran S. Natural history of Pott’s kyphosis. Eur Spine J 2013;22(Suppl 4):634-40. https://doi.org/10.1007/s00586-012-2336-6
25. Zhang Z. Late onset Pott’s paraplegia in patients with upper thoracic sharp kyphosis. Int Orthop 2012;36(2):381-5. https://doi.org/10.1007/s00264-011-1285-8
Notas de autor
manzonepatricio@hotmail.com
Información adicional
Nivel de Evidencia: IV
Level of Evidence: IV
Conflicto de intereses: Los autores no declaran conflictos de intereses.
Cómo citar este artículo: Manzone P, Ovejero MP. Osteomielitis vertebral neonatal. Presentación de un caso y revisión bibliográfica. Rev Asoc Argent Ortop Traumatol 2025;90(1):80-89. https://doi.org/10.15417/issn.1852-7434.2025.90.1.2037

