

INVESTIGACIÓN CLÍNICA
Incidencia de dedo flotante en la osteotomía metatarsiana distal percutánea con osteosíntesis para el tratamiento de la metatarsalgia con dedo en martillo rígido
Incidence of Floating Toe After Distal Minimally Invasive Metatarsal Osteotomy with Pin Osteosynthesis for the Treatment of Metatarsalgia and Rigid Hammertoe
Revista de la Asociación Argentina de Ortopedia y Traumatología
Asociación Argentina de Ortopedia y Traumatología, Argentina
ISSN-e: 1852-7434
Periodicidad: Bimestral
vol. 89, núm. 2, 2024
Recepción: 19 Junio 2023
Aprobación: 30 Octubre 2023
Autor de correspondencia: virginia.cafruni@hospitalitaliano.org.ar

Cómo citar este artículo: Bilbao F, Cafruni VM, Cardone G, Villena DS, Verbner JM, Carrasco NM. Incidencia de dedo flotante en la osteotomía metatarsiana distal percutánea con osteosíntesis para el tratamiento de la metatarsalgia con dedo en martillo rígido. Rev Asoc Argent Ortop Traumatol 2024;89(2):96-104. https://doi.org/10.15417/issn.1852-7434.2024.89.2.1778
Resumen: Introducción: La metatarsalgia central es una causa frecuente de dolor de antepié. La osteotomía de Weil es el tratamiento quirúrgico más popular y la osteotomía metatarsiana distal percutánea (OMDP) es la técnica percutánea más utilizada. La principal desventaja de estas técnicas es la aparición de dedo flotante que es aún mayor cuando se la asocia a artrodesis interfalángica proximal (AIFP). En esta serie de casos, se combinó la OMDP y la osteosíntesis con clavija de Kirschner para elevar el centro de rotación de la cabeza del metatarsiano con el objetivo de disminuir la presencia de dedos flotantes. Nuestra principal hipótesis fue que esta técnica generará menos dedos flotantes en los pacientes con diagnóstico de metatarsalgia mecánica y dedo en martillo rígido, comparada con la osteotomía de Weil. Materiales y Métodos: Se realizó un estudio retrospectivo en pacientes adultos con diagnóstico de metatarsalgia mecánica y dedo en martillo rígido. Se los sometió a una OMDP más fijación con clavija de Kirschner en combinación con AIFP. Finalmente, se comparó la presencia de dedos flotantes con un grupo de pacientes operados con la técnica de Weil y AIFP. Resultados: Se realizaron 39 OMDP más AIFP. La tasa de dedos flotantes fue del 31%. No hubo una diferencia estadísticamente significativa comparada con la técnica de Weil (36%, p = 0,634). Conclusión: La OMDP con elevación del centro de rotación asociada con AIFP no proporcionó una menor incidencia de dedos flotantes en comparación con la osteotomía de Weil.
Palabras clave: Metatarsalgia, dedo en martillo, osteotomía metatarsiana distal percutánea, artrodesis interfalángica proximal, dedo flotante.
Abstract: Introduction: Central metatarsalgia is a common cause of forefoot pain. The most common surgical treatment is Weil osteotomy and the most popular percutaneous technique is distal minimally invasive metatarsal osteotomy (DMMO). However, the main disadvantage of these techniques is the appearance of floating toes, which is even greater when associated with proximal interphalangeal arthrodesis. In this series of cases, DMMO was combined with a pin to elevate the center of rotation of the metatarsal head with the aim of reducing the presence of floating toes. Our main hypothesis was that this technique would result in a lower presence of floating toes in patients diagnosed with mechanical metatarsalgia and rigid hammertoe, compared to Weil osteotomies. Materials and Methods: A retrospective observational study was carried out on consecutive adult patients diagnosed with mechanical metatarsalgia and rigid hammertoe. DMMO was performed with pin fixation in combination with proximal interphalangeal (PIP) arthrodesis. Finally, the presence of floating toes was compared with a group of patients operated on with the Weil technique and PIP arthrodesis. Results: A total of 39 DMMOs with PIP arthrodesis were performed. The percentage of floating toes was 31% . There was no statistically significant difference compared to the Weil technique (36%, p = 0.634). Conclusion: DMMO for elevation of the center of rotation associated with PIP arthrodesis fixed with a pin did not provide a lower incidence of floating toes compared to Weil osteotomy.
Keywords: Metatarsalgia, hammertoe, distal metatarsal metaphyseal osteotomy, proximal interphalangeal arthrodesis, floating toe.
INTRODUCCIÓN
La metatarsalgia central es una causa frecuente de dolor de antepié que, muchas veces, se asocia con deformidad del hallux o de los dedos menores. Esto puede deberse a múltiples factores, como anormalidades anatómicas del pie, enfermedades sistémicas, iatrogenia, etcétera.1Rocker 2 es el término utilizado en el análisis del ciclo de la marcha para indicar el fulcro que utiliza el pie durante la progresión de la marcha. Durante la marcha, el pie funciona como un mecanismo de tres rockers. Según el momento del ciclo de la marcha en el que se produce la sobrecarga, la metatarsalgia mecánica puede ser clasificada como metatarsalgia del primero, segundo o tercer rocker. El talón, al apoyar en el piso durante el primer 10% del ciclo de la marcha, es el primer rocker, aquí la metatarsalgia ocurre a causa de una deformidad congénita, pie cavo o acortamiento del gemelo. El tobillo es el segundo rocker, todo el pie está en contacto con el piso. En esta instancia, la metatarsalgia ocurre ante una limitación del movimiento del tobillo o ante la flexión plantar aumentada de los metatarsianos menores que sobrecarga el antepié. La metatarsalgia mecánica del tercer rocker propulsiva o del antepié comienza cuando el talón se eleva y la sobrecarga se transfiere a las cabezas de los metatarsianos menores por insuficiencia del primer rayo. La metatarsalgia del segundo rocker respondería al tratamiento de elevación de las cabezas metatarsianas, mientras que la metatarsalgia del tercer rocker respondería al acortamiento metatarsiano.2,3 Cuando el tratamiento conservador falla, se requiere una resolución quirúrgica. Se han descrito técnicas radicales, como la resección de la cabeza metatarsiana y, por otro lado, técnicas conservadoras, como las osteotomías abiertas o percutáneas, con preservación de la articulación metatarsofalángica.1,4,5
Dentro de las osteotomías, la descrita por Weil 6 para el tratamiento de la metatarsalgia central es la más popular. Es una técnica intrarticular abierta para un acortamiento controlado del metatarsiano. Su principal desventaja es la aparición de dedo flotante, es decir, aquellos dedos que no toman contacto con el piso al estar de pie.7,8,9 La etiología de esta complicación aún no está aclarada.10 Si hablamos de las osteotomías percutáneas, una de las más utilizadas es la osteotomía metatarsiana distal percutánea (OMDP). Estas técnicas mininvasivas están en auge, porque provocan menos daño a las partes blandas, lo que ha llevado a utilizar este recurso para solucionar deformidades de leves a graves en el antepié.11,12 Sin embargo, el dedo flotante también parece ser una complicación común después de esta osteotomía. La presencia de dedo flotante es aún mayor cuando se la asocia a artrodesis interfalángica proximal (AIFP).6 Algunos autores plantean que esto se debería a un descenso del centro de rotación que lleva los músculos flexores intrínsecos a pasar por encima de este llevando a la extensión a la articulación metatarsofalángica.13
Considerando esto último, se combinó la OMDP y la osteosíntesis con clavija de Kirschner para elevar la cabeza del metatarsiano buscando disminuir la presencia de dedos flotantes. Nuestra principal hipótesis fue que la OMDP con clavija causará menos dedos flotantes en aquellos pacientes con diagnóstico de metatarsalgia mecánica y dedo en martillo rígido, comparada con la osteotomía de Weil.
MATERIALES Y MÉTODOS
Se realizó un estudio observacional retrospectivo en pacientes adultos consecutivos con diagnóstico de metatarsalgia mecánica y dedo en martillo rígido que fueron sometidos a una OMDP más fijación con clavija de Kirschner en combinación con AIFP, en nuestra institución, entre agosto de 2012 y febrero de 2015.
Los criterios de inclusión fueron: adultos operados, mediante la técnica que se describe más adelante, por metatarsalgia mecánica del tercer rocker con luxación o subluxación metatarsofalángica con dedos en martillo rígidos.
Los criterios de exclusión incluyeron enfermedades neurológicas, secuelas postraumáticas, cirugías previas en los metatarsianos, artrosis de la articulación metatarsofalángica involucrada, enfermedad de Freiberg, pie cavo e historia clínica incompleta.
Técnica quirúrgica
Se coloca al paciente en decúbito dorsal, con bloqueo anestésico regional y manguito hemostático a nivel del tobillo. Mediante un abordaje dorsal longitudinal del dedo se realiza la tenotomía del extensor y la capsulotomía interfalángica proximal seguida de una artrodesis de dicha articulación por encaje recíproco utilizando una clavija de Kirschner de 1,5 mm de diámetro, bajo intensificador de imágenes.
Se procede a realizar un miniabordaje en el cuello del metatarsiano y se continúa con una tenotomía percutánea del extensor largo y corto del dedo correspondiente, y luego con una capsulotomía dorsal y la sección de ambos ligamentos colaterales de forma percutánea. Una vez reducida la articulación metatarsofalángica, se progresa la clavija de Kirschner hacia la metáfisis distal del metatarsiano manteniendo la reducción, todo bajo control radioscópico.
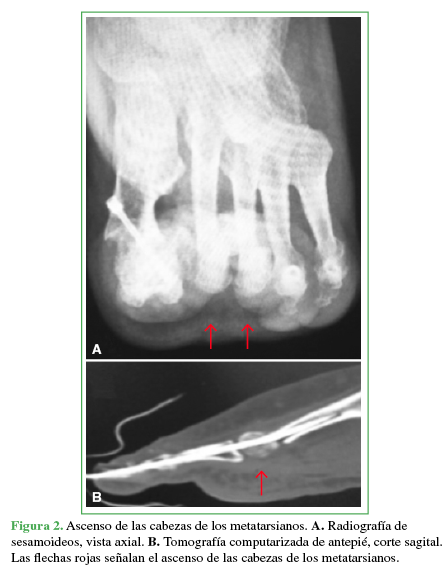
A continuación, se realiza la OMDP en la metáfisis distal con un ángulo aproximado de 45° en relación con el piso. Esta se efectúa de distal dorsal a proximal plantar para lograr el ascenso y acortamiento de la cabeza del metatarsiano, finalmente se avanza la clavija de Kirschner hacia la diáfisis del metatarsiano (Figura 1). Así, se busca disminuir la presión ejercida por las cabezas metatarsianas contra el piso (Figura 2). Por otra parte, se eleva el centro de rotación para que los músculos intrínsecos actúen nuevamente como flexores de la articulación metatarsofalángica, intentando disminuir la incidencia de dedo flotante. Para finalizar se realiza la tenotomía percutánea del flexor largo del dedo tratado para prevenir la posterior progresión a dedo en mazo.


Cuidado posoperatorio
Las primeras 24 h transcurren sin apoyo hasta que termina el efecto del bloqueo anestésico. A los 20 días, se permite la deambulación domiciliaria con carga total en el zapato posquirúrgico neutro y, a los 21 días, se retira la osteosíntesis.
Los pacientes fueron evaluados clínica y radiológicamente antes de la cirugía, a las 3 semanas, a los 3 meses, o hasta constatar la consolidación (Figuras 3 y 4).
Evaluación radiográfica
Se tomaron radiografías con apoyo, anteroposterior y lateral, antes de la cirugía y en diferentes instancias posteriores. Antes de la operación y después, se analizó la congruencia articular metatarsofalángica que se registró como reducida, subluxada o luxada. También, se evaluó la osteotomía (OMDP) para constatar la presencia de consolidación viciosa o seudoartrosis. Se registró la variación de la fórmula metatarsiana, especialmente la longitud del primer metatarsiano (Index Plus/Index Plus Minus/Index Minus).14,15
Evaluación clínica
Se evaluó principalmente la presencia o ausencia de dedos flotantes, definidos como aquellos dedos que no toman contacto con el piso cuando el paciente está de pie.7,8,9Al final del período de seguimiento, la función se evaluó con la escala de la American Orthopaedic Foot and Ankle Society (AOFAS),16 la cual tiene en cuenta las siguientes variables: dolor, restricción funcional, restricción en el calzado, callosidad plantar, alineación, estabilidad y rigidez de la articulación metatarsofalángica. Como todos los pacientes tenían AIFP, el puntaje máximo considerado fue de 95.
Por último, estas variables fueron comparadas con las de los primeros 26 pacientes consecutivos que tenían metatarsalgia con dedos en martillo rígidos operados mediante la técnica de Weil y AIFP en nuestro Centro. Esta técnica consiste en realizar una osteotomía abierta paralela a la superficie del suelo, desde la porción dorsal de la cabeza del metatarsiano hacia proximal para lograr el acortamiento y posteriormente se fija con un tornillo de 2,7 mm.


RESULTADOS
Entre agosto de 2012 y febrero de 2015, 28 pacientes con diagnóstico de metatarsalgia con dedo en martillo rígido fueron operados con la técnica quirúrgica descrita previamente. Cinco de ellos fueron excluidos, porque dejaron de asistir a los controles clínicos indicados. Siete de los 23 pacientes restantes se sometieron a cirugías bilaterales (30 pies, 39 osteotomías).
La tasa de dedos flotantes fue del 31% (12 de 39 osteotomías). En la evaluación radiográfica posquirúrgica de la fórmula metatarsiana, si bien a 28 de los 30 pies se les había realizado alguna intervención quirúrgica en el hallux, solo cuatro presentaron index minus en el posoperatorio.
No hubo seudoartrosis ni metatarsalgia por transferencia. Se logró la reducción metatarsofalángica en 34 casos (88%) y se produjo una recidiva de la luxación en cinco articulaciones (12,8%). En la mayoría de los casos, la recurrencia fue asintomática. El único caso sintomático, una paciente con desviación en varo del segundo dedo, se resolvió con una osteotomía percutánea de la primera falange (Figuras 5 y 6).


En las Tablas 1 y 2, se muestran las características demográficas y los resultados posoperatorios de los pacientes tratados con la técnica quirúrgica descrita en esta serie de casos, comparados con los de los primeros 26 pacientes consecutivos de la serie tratados con osteotomía de Weil más AIFP en nuestra institución.
No hubo una diferencia estadísticamente significativa en la presencia de dedos flotantes comparando ambas técnicas (p = 0,634); sin embargo, sí fue significativa la reducción posoperatoria de la articulación metatarsofalángica, que fue más exitosa con la técnica de Weil (p <0,001). Los resultados funcionales fueron satisfactorios en ambos grupos, con un puntaje medio de la escala de la AOFAS de 86 (rango 63-90) para el grupo de OMDP con clavija de Kirschner y de 81,2 (rango 19-95) para el grupo con osteotomía de Weil más AIFP.


DISCUSIÓN
La metatarsalgia central es una causa frecuente de dolor de antepié que suele asociarse con deformidades en los dedos.2 Se han propuesto diferentes técnicas quirúrgicas, pero ninguna con un resultado óptimo.8 La osteotomía de Weil es un procedimiento eficaz y seguro para el tratamiento de la metatarsalgia central, aunque puede estar relacionada con algunas complicaciones, como deformidad de dedo flotante.8 Según lo publicado por Trnka y cols.,13esto se debería al descenso del centro de rotación que lleva a la extensión de la articulación metatarsofalángica, porque los músculos interóseos pasan a actuar como dorsiflexores. Sin embargo, en esta serie, pese a la elevación de la cabeza del metatarsiano lograda con la OMDP más la fijación con clavija de Kirschner, no logró reducir la tasa de dedos flotantes posoperatorios en comparación con la osteotomía de Weil.
La tasa de dedos flotantes en nuestra serie fue del 31%, teniendo en cuenta que 30 de las 39 osteotomías se realizaron en el segundo metatarsiano, 10 de los dedos flotantes eran el segundo dedo. Esto puede deberse a que la segunda articulación metatarsofalángica tiene solo interóseos dorsales, lo que explicaría una flexión plantar activa menos efectiva comparada con los otros dedos menores.17
En una revisión reciente de 1131 osteotomías de Weil, Highlander y cols.10 comunicaron una incidencia total de dedo flotante del 36%. O’Kane y Kilmartin1 publicaron una incidencia del 20% de dedo flotante en 40 osteotomías de Weil abiertas sin AIFP, en un período relativamente corto de seguimiento de 8.6 meses.1 Por otro lado, Migues y cols.8 informaron una incidencia total de dedo flotante del 28,5% en 70 osteotomías de Weil, 14 de los 20 dedos flotantes tenían AIFP. Los autores atribuyen esta diferencia a que la AIFP hace más evidente la contractura metatarsofalángica en dorsiflexión. La reducción de la tensión del mecanismo flexor plantar asociada con la retracción de las estructuras dorsales durante la cicatrización serían responsables de esta evolución.17
Se han propuesto modificaciones de la osteotomía de Weil, como la de Maceira,2,18 para evitar el descenso cefálico y la incidencia de dedo flotante. Consiste en un triple corte modificado de la osteotomía de Weil que permite acortar la diáfisis sin descenso de la cabeza, pero aún faltan estudios para demostrar sus ventajas con respecto a la osteotomía de Weil.17
Se ha descrito además la osteotomía de Weil junto con la sutura de la placa plantar y el alargamiento del tendón extensor, con el fin de realinear y descomprimir una articulación metatarsofalángica inestable.19 La reparación de la placa plantar restituye la parte final del mecanismo de windlass favoreciendo la flexión plantar sobre la dorsiflexión.18,19Gregg y cols.19 reportan buenos resultados funcionales y la incidencia más baja (6%), solo dos pacientes referían dedo flotante.
Podemos decir que la incidencia de dedo flotante en nuestros pacientes (31%) es similar a la publicada en otros artículos.8,10 La incidencia de reluxación posquirúrgica en esta serie fue del 13%. Esta cifra es comparable con la de otras series publicadas (12-15%).7,20 En la mayoría de los casos, las reluxaciones fueron asintomáticas. El único caso sintomático se resolvió con una osteotomía percutánea de la primera falange (Figuras 4y 5). Los resultados funcionales posoperatorios fueron satisfactorios con una media de la escala de la AOFAS de 86 puntos (rango 63-90).
Una de las limitaciones de este estudio fue que no se empleó la escala de la AOFAS antes de la cirugía, pero hay que tener en cuenta que todos los pacientes que se incluyeron no habían respondido al tratamiento conservador. Por otro lado, se trata de un estudio retrospectivo y la cantidad de pacientes es reducida. Además, se realizaron otros procedimientos quirúrgicos asociados en los dedos menores y en el hallux.
Es importante destacar que todos fueron tratados por el mismo cirujano y bajo el mismo protocolo quirúrgico. Este procedimiento provocaría un menor daño de partes blandas, porque es percutáneo y, además, tendría un menor costo en material de osteosíntesis al utilizar solo una clavija de Kirschner.
Si bien varios estudios compararon los resultados de la técnica de Weil con las OMDP sin diferencias en lo que respecta de movilidad y satisfacción,21,22,23no encontramos artículos que comparen ambas técnicas para el tratamiento de la metatarsalgia asociado con dedo en martillo rígido. Se deberían llevar a cabo estudios con la misma técnica y en forma comparativa aleatorizada para obtener una mejor evidencia comparada con la osteotomía de Weil abierta.
CONCLUSIONES
La OMDP con elevación del centro de rotación asociada con AIFP fijada con clavija de Kirschner no proporcionó una menor incidencia de dedos flotantes en comparación con la osteotomía de Weil. Sin embargo, es una alternativa válida para el tratamiento de las metatarsalgias mecánicas asociadas a dedos en martillo rígidos.
BIBLIOGRAFÍA
1. O’Kane C, Kilmartin TE. The surgical management of central metatarsalgia. Foot Ankle Int 2002;23(5):415-9. https://doi.org/10.1177/107110070202300508
2. Espinosa N, Brodsky JW, Maceira E. Metatarsalgia. J Am Acad Orthop Surg 2010;18(8):474-85. https://doi.org/10.5435/00124635-201008000-00004
3. Feibel JB, Tisdel CL, Donley BG. Lesser metatarsal osteotomies. A biomechanical approach to metatarsalgia. Foot Ankle Clin 2001;6(3):473-89. https://doi.org/10.1016/s1083-7515(03)00108-6
4. Pearce CJ, Calder JD. Metatarsalgia: proximal metatarsal osteotomies. Foot Ankle Clin 2011;16(4):597-608. https://doi.org/10.1016/j.fcl.2011.08.007
5. Schuh R, Trnka HJ. Metatarsalgia: distal metatarsal osteotomies. Foot Ankle Clin 2011;16(4):583-95. https://doi.org/10.1016/j.fcl.2011.08.009
6. Barouk LS. [Weil’s metatarsal osteotomy in the treatment of metatarsalgia]. Orthopade 1996;25(4):338-44. https://doi.org/10.1007/s001320050034
7. Vandeputte G, Dereymaeker G, Steenwerckx A, Peeraer L. The Weil osteotomy of the lesser metatarsals: a clinical and pedobarographic follow-up study. Foot Ankle Int 2000;21(5):370-4. https://doi.org/10.1177/107110070002100502
8. Migues A, Slullitel G, Bilbao F, Carrasco M, Solari G. Floating-toe deformity as a complication of the Weil osteotomy. Foot Ankle Int 2004;25(9):609-13. https://doi.org/10.1177/107110070402500902
9. Garg R, Thordarson DB, Schrumpf M, Castaneda D. Sliding oblique versus segmental resection osteotomies for lesser metatarsophalangeal joint pathology. Foot Ankle Int 2008;29(10):1009-14. https://doi.org/10.3113/FAI.2008.1009
10. Highlander P, Von Herbulis E, Gonzalez A, Britt J, Buchman J. Complications of the Weil osteotomy. Foot Ankle Spec 2011;4(3):165-70. https://doi.org/10.1177/1938640011402822
11. Botezatu I, Marinescu R, Laptoiu D. Minimally invasive-percutaneous surgery - recent developments of the foot surgery techniques. J Med Life 2015;8 Spec Issue:87-93. PMID: 26361518
12. Henry J, Besse JL, Fessy MH, AFCP. Distal osteotomy of the lateral metatarsals: a series of 72 cases comparing the Weil osteotomy and the DMMO percutaneous osteotomy. Orthop Traumatol Surg Res 2011;97(6 Suppl):S57-65. https://doi.org/10.1016/j.otsr.2011.07.003
13. Trnka HJ, Nyska M, Parks BG, Myerson MS. Dorsiflexion contracture after the Weil osteotomy: results of cadaver study and three-dimensional analysis. Foot Ankle Int 2001;22(1):47-50. https://doi.org/10.1177/107110070102200107
14. Maestro M, Besse J-L, Ragusa M, Berthonnaud E. Forefoot morphotype study and planning method for forefoot osteotomy. Foot Ankle Clin 2003;8(4):695-710. https://doi.org/10.1016/s1083-7515(03)00148-7
15. Ferrández Portal L, Fernández Sabaté A, Rodríguez Merchán EC, Pérez-Caballer Pérez A, Gómez-Castresana Bachiller F, Cáceres Palou E. Metatarsalgias. En: Manual SECOT de Cirugía Ortopédica y Traumatología (Spanish Edition). Buenos Aires: Editorial Médica Panamericana S.A.; 2003:684-98.
16. Kitaoka HB, Alexander IJ, Adelaar RS, Nunley JA, Myerson MS, Sanders M. Clinical rating systems for the ankle-hindfoot, midfoot, hallux, and lesser toes. Foot Ankle Int 1994;15(7):349-53. https://doi.org/10.1177/107110079401500701
17. Monteagudo M, Maceira E. Evolution of the weil osteotomy: the triple osteotomy. Foot Ankle Clin 2019;24(4):599-614. https://doi.org/10.1016/j.fcl.2019.08.009
18. Coughlin MJ, Baumfeld DS, Nery C. Second MTP joint instability: grading of the deformity and description of surgical repair of capsular insufficiency. Phys Sports Med 2011;39(3):132-41. https://doi.org/10.3810/psm.2011.09.1929
19. Gregg J, Silberstein M, Clark C, Schneider T. Plantar plate repair and Weil osteotomy for metatarsophalangeal joint instability. Foot Ankle Surg 2007;13(3):116-21. https://doi.org/10.1016/j.fas.2007.01.001
20. Hofstaetter SG, Hofstaetter JG, Petroutsas JA, Gruber F, Ritschl P, Trnka HJ. The Weil osteotomy: a seven-year follow-up. J Bone Joint Surg Br 2005;87(11):1507-11. https://doi.org/10.1302/0301-620X.87B11.16590
21. Yeo NEM, Loh B, Chen JY, Yew AKS, Ng SY. Comparison of early outcome of Weil osteotomy and distal metatarsal mini-invasive osteotomy for lesser toe metatarsalgia. J Orthop Surg (Hong Kong) 2016;24(3):350-3. https://doi.org/10.1177/1602400315
22. Johansen JK, Jordan M, Thomas M. Clinical and radiological outcomes after Weil osteotomy compared to distal metatarsal metaphyseal osteotomy in the treatment of metatarsalgia-A prospective study. Foot Ankle Surg 2019;25(4):488-94. https://doi.org/10.1016/j.fas.2018.03.002
23. Rivero-Santana A, Perestelo-Pérez L, Garcés G, Álvarez-Pérez Y, Escobar A, Serrano-Aguilar P. Clinical effectiveness and safety of Weil’s osteotomy and distal metatarsal mini-invasive osteotomy (DMMO) in the treatment of metatarsalgia: A systematic review. Foot Ankle Surg 2019;25(5):565-70. https://doi.org/10.1016/j.fas.2018.06.004
Notas de autor
virginia.cafruni@hospitalitaliano.org.ar
Información adicional
Nivel de Evidencia: IV
Level of Evidence: IV
Conflicto
de intereses: Los autores no declaran conflictos de intereses.
Cómo
citar este artículo: Bilbao F, Cafruni VM, Cardone G, Villena DS, Verbner JM,
Carrasco NM. Incidencia de dedo flotante en la osteotomía metatarsiana distal
percutánea con osteosíntesis para el tratamiento de la metatarsalgia con dedo
en martillo rígido. Rev Asoc Argent Ortop
Traumatol 2024;89(2):96-104. https://doi.org/10.15417/issn.1852-7434.2024.89.2.1778

