

INVESTIGACIÓN CLÍNICA
Transferencia tendinosa del primer radial externo al cubital posterior: ¿mejora significativamente la corrección de la desviación radial en la muñeca reumática?
Extensor Carpi Radialis Longus Tendon Transfer to Extensor Carpi Ulnaris: Does It Significantly Improve the Correction of Radial Deviation in the Rheumatoid Wrist?
Revista de la Asociación Argentina de Ortopedia y Traumatología
Asociación Argentina de Ortopedia y Traumatología, Argentina
ISSN-e: 1852-7434
Periodicidad: Bimestral
vol. 88, núm. 6, 2023
Recepción: 30 Enero 2023
Aprobación: 18 Mayo 2023
Autor de correspondencia: mariano.abrego@hospitalitaliano.org.ar

Cómo citar este artículo: Abrego MO, Holc F, Rellán I, Donndorff AG, Gallucci GL, Boretto JG, De Carli P. Transferencia tendinosa del primer radial externo al cubital posterior: ¿mejora significativamente la corrección de la desviación radial en la muñeca reumática? Rev Asoc Argent Ortop Traumatol 2023;88(6):594-600. https://doi.org/10.15417/issn.1852-7434.2023.88.6.1722
Resumen: Introducción: La artritis inflamatoria puede conducir al síndrome de caput ulnae con desviación radial de la muñeca y los metacarpianos. El tratamiento es la artroplastia de rescate de la articulación radiocubital distal y la reubicación del tendón del extensor cubital del carpo (ECC). Sin embargo, puede ser débil para corregir la desviación. Clayton describió la transferencia del tendón del extensor radial largo del carpo (ERLC) al ECC. El objetivo de este estudio fue comparar la corrección de la desviación radial de los metacarpianos en pacientes operados con transferencia del ERLC al ECC o sin ella. Materiales y Métodos: Estudio de cohorte retrospectiva en pacientes con artritis reumatoide y síndrome de caput ulnae, sometidos a tenoplastia del ECC con ERLC o sin este procedimiento. Se formaron dos grupos: pacientes con transferencia (grupo A) y sin transferencia (grupo B). Se calculó la corrección del ángulo de Clayton comparando las medidas preoperatoria y del último control, y se compararon los resultados. Resultados: El seguimiento promedio fue de 28 meses. El ángulo de Clayton preoperatorio promedio era de 44,54° (DE ± 7,52) en el grupo A y 60,24° (DE ± 12,28) en el grupo B (p = 0,001). El promedio de corrección fue de 6,57° (DE ± 4,11) y 0,95° (DE ± 9,17), respectivamente (p = 0,026). Conclusiones: El nivel de corrección fue mayor en el grupo A. No obstante, si bien ambas técnicas lograron mejorar el ángulo, el grado de corrección podría estar supeditado a la magnitud del ángulo preoperatorio.
Palabras clave: Artritis reumatoide, caput ulnae, transferencia tendinosa, ángulo de Clayton.
Abstract: Introduction: Inflammatory arthritis can lead to caput ulnae syndrome with radial deviation of the wrist and metacarpals. Treatment includes salvage arthroplasty of the distal radioulnar joint and relocation of the extensor carpi ulnaris (ECU) tendon. However, the ECU may be too weak to correct the deviation. To strengthen the ECU, Clayton described the transfer of the extensor carpi radialis longus (ECRL) tendon to the ECU. The aim of this work is to compare the correction of the radial deviation of the metacarpals in patients with and without transfer of the ECRL to the ECU. Materials and Methods: Retrospective cohort study. Patients with rheumatoid arthritis and caput ulnae syndrome, treated with ECU tenoplasty with or without ECRL, were included. The patients were divided into two groups: ECRL to ECU transfer (group A) and no transfer (Group B). The correction of the metacarpal-radial angle (Clayton’s angle) was calculated by comparing the measurements before surgery and at end of follow-up, and the results obtained were compared. Results: The average follow-up was 28 months. The preoperative Clayton angle was on average 44.54° (SD ± 7.52) in group A and 60.24° (SD ± 12.28) in group B (p = 0.001). The correction average was 6.57° (SD ± 4.11) and 0.95° (SD ± 9.17) for group A and B respectively (p=0.026). Conclusions: The level of correction obtained was higher in group A. However, although both techniques managed to improve the angle, the degree of correction could be subject to the magnitude of the preoperative angle.
Keywords: Rheumatoid arthritis, caput ulnae, tendon transfer, Clayton’s angle.
INTRODUCCIÓN
La artritis reumatoide (AR) es una enfermedad autoinmune inflamatoria crónica que causa manifestaciones articulares y extrarticulares.1 La mayoría de los pacientes con AR desarrolla deformidades estructurales durante la evolución de la enfermedad. Cuando afecta las manos, suele ser incapacitante y más del 90% de los pacientes con AR terminará con compromiso de la muñeca dentro de los 10 años del diagnóstico.2,3 La articulación radio-cubital distal suele ser el primer sitio de compromiso. Una de las deformidades características es el síndrome de caput ulnae. Descrito por Backdahl,4 en 1963, el síndrome de caput ulnae es la consecuencia de una deficiencia progresiva de los ligamentos cubitocarpianos debido a la sinovitis característica de la enfermedad inflamatoria. La sinovitis del tendón extensor cubital del carpo (ECC) provoca la incontinencia de su vaina, lo que permite su luxación volar que pasa de actuar como extensor a flexor y supinador de la muñeca. Esto, asociado a la sinovitis radiocubital distal y la distensión consecuente de sus ligamentos, causa la luxación volar del radio, con protrusión dorsal de la cabeza cubital. El final de este camino fisiopatológico es el desequilibrio de las fuerzas laterales de la muñeca, con debilidad de las fuerzas del lado cubital, y la progresiva rotación y la desviación radial de la muñeca y los metacarpianos, muchas veces, también con la desviación cubital de los dedos.5
El tratamiento quirúrgico de este cuadro que combina el síndrome de caput ulnae con la desviación radial de la muñeca y los metacarpianos, el rebalance de fuerzas en la muñeca incluye la artroplastia o artrodesis de rescate de la articulación radiocubital distal y la reubicación del tendón del ECC a su posición dorsal normal. Sin embargo, el tendón del ECC, en algunos casos, puede ser débil para corregir la desviación radial y devolver el balance esencial que restauraría el eje esquelético tendinoso a la muñeca, los metacarpianos y los dedos.5,6
En estos casos, para reforzar el ECC, muchas veces, muy deteriorado y debilitado por la enfermedad, Clayton y Ferlic7 describieron la transferencia del tendón extensor radial largo del carpo (ERLC) al ECC con el doble objetivo de mejorar el balance de fuerzas reforzando el lado cubital de la muñeca, y disminuir, a su vez, la fuerza de desviación radial producida por ambos tendones extensores radiales del carpo (ERLC y el segundo radial externo) al tomar uno de ellos como tendón donante.
El objetivo de este estudio fue comparar la corrección de la desviación radial de los metacarpianos en pacientes operados con transferencia del ERLC al ECC o sin esta técnica.
MATERIALES Y MÉTODOS
Tras la aprobación del Comité de Ética de nuestra institución, se llevó a cabo un estudio observacional analítico de cohorte retrospectivo. Se revisaron las historias clínicas electrónicas, que se completan de manera prospectiva, de todos los pacientes con enfermedad reumática y compromiso de la muñeca que habían sido tratados en nuestra institución, entre 2010 y 2018.
Se incluyó a pacientes con: AR y síndrome de caput ulnae, operados con un procedimiento paliativo de la articulación radiocubital distal y tenoplastia del ECC con ERLC o sin la transferencia. Se excluyó a los pacientes con artroplastia de muñeca, artrodesis radiocarpiana o intercarpiana, transferencias tendinosas de muñeca y menos de seis meses de seguimiento.
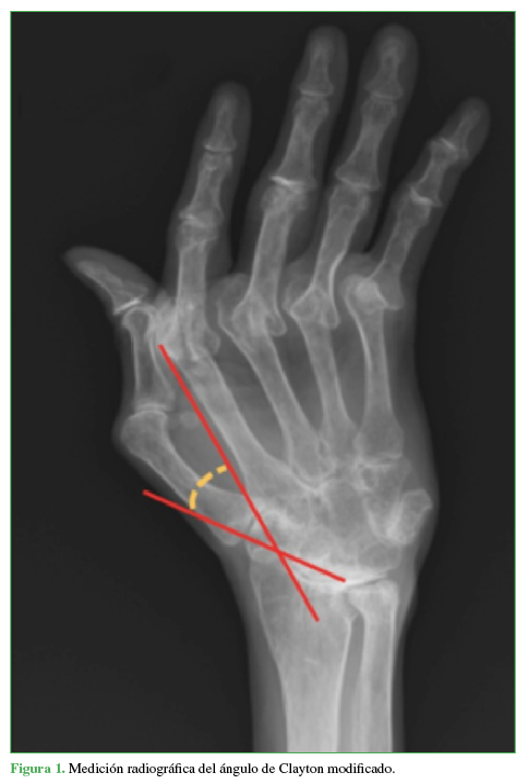
Se registraron variables demográficas, como edad y sexo, el lado afectado y la duración del seguimiento. Se evaluaron las radiografías de mano, de frente, preoperatorias y posoperatorias, midiendo el ángulo de Clayton7 (Figura 1) definido como aquel que se forma entre el eje del segundo metacarpiano y la línea de inclinación radial en la superficie articular de la muñeca en la radiografía anteroposterior.
Todos habían sido operados por el mismo equipo de cirujanos especialistas en miembro superior. El síndrome de caput ulnae siempre fue tratado con las técnicas de Darrach8o de Sauvé-Kapandji9para artroplastia radiocubital inferior, reubicación del tendón del ECC en su vaina con reconstrucción de ésta reduciendo el tendón nuevamente al dorso del cúbito en su canal propio. Más allá de esto, en algunos casos, se reforzó el ECC con transferencia del ERLC al ECC y, en otros, no.
Luego del abordaje dorsocubital de muñeca, la artroplastia radiocubital inferior y la reconstrucción de la vaina del ECC y su reubicación dorsal, según técnica, se procede a la transferencia tendinosa en los pacientes con desviación radial de la muñeca. La transferencia se realizó según la técnica descrita por Clayton y Ferlic:7 a través de un abordaje en la base del metacarpiano, se secciona el tendón del ERLC en la inserción en su base; se realiza una segunda incisión mínima sobre el mismo tendón unos 5 cm proximal a la primera; se extrae el tendón por la segunda incisión liberándolo de las vainas circundantes para su transferencia; se pasa el tendón del ERLC por debajo del tejido celular y en forma supra-aponeurótica y sobre los extensores de los dedos hacia el abordaje dorsocubital para suturar al ECC en posición de 30° de extensión de muñeca, pronación máxima y desviación cubital, proximal a la entrada del ECC en su neovaina que fue reconstruida en el mismo procedimiento quirúrgico antes de la transferencia (Figuras 2y 3).
Los pacientes fueron divididos en dos grupos: con transferencia del ERLC al ECC (grupo A) y sin transferencia (grupo B). En cada grupo, se calculó la corrección del ángulo metacarpiano-radial (ángulo de Clayton) comparando las medidas preoperatorias y las del último control, y se compararon los resultados obtenidos entre ambos grupos.



Análisis estadístico
Las variables continuas se expresan como medias con su desviación estándar o como la mediana con rango intercuartílico según su distribución normal o no paramétrica, respectivamente. Las variables categóricas se expresan como frecuencias y porcentajes. Se realizó un análisis univariado entre ambos grupos según su distribución mediante las pruebas de la t de Student y de la U de Mann-Whitney. Los valores delta entre los ángulos radiográficos preoperatorios y finales se compararon con la prueba de la t para muestras pareadas. Se consideró estadísticamente significativo un valor p <0,05. Se utilizó el programa IBM SPSS v.26 (IBM Corp., Armonk, N.Y., EE.UU.).
RESULTADOS
Tras aplicar los criterios de inclusión y exclusión, se evaluaron 31 muñecas en 31 pacientes: 11 en el grupo A (con transferencia del ERLC) y 20 en el grupo B (sin transferencia del ERLC). Las características demográficas de la serie y el análisis comparativo univariado se detallan en la Tabla 1. No se hallaron diferencias estadísticamente significativas entre ambos grupos para la edad, el sexo, el lado operado y el tiempo de seguimiento (media 28 meses, desviación estándar [DE] ± 27,4).

El ángulo de Clayton preoperatorio medía, en promedio, 135,46° (DE ± 7,52) en el grupo A y 119,75° (DE ± 12,28) en el grupo B (p = 0,001). En el grupo A, se logró una mejoría promedio de 6,57° (DE ± 11,69), con un ángulo posoperatorio de 128,89° (DE ± 7,98). En el grupo B, se obtuvo una corrección de 0,95° (DE ± 16,30), con un ángulo posoperatorio de 118,8° (DE ± 9,50) (Tabla 2).

DISCUSIÓN
Los protocolos de tratamiento actuales para la AR consisten en un enfoque interdisciplinario clínico-quirúrgico. La terapia farmacológica ha disminuido sustancialmente la incidencia de deformidades de la mano. Sin embargo, la cirugía sigue siendo una opción terapéutica esencial que debe considerarse para pacientes sintomáticos y que puede clasificarse como preventiva/profiláctica o reconstructiva10.
Los procedimientos profilácticos (sinovectomía, tenosinovectomía, balance tendinoso) tienen como objetivo retrasar el desarrollo de las deformidades, mientras que los procedimientos llamados reconstructivos (artroplastia, transferencia/injerto de tendón) buscan corregir las deformidades ya establecidas.11
Es fundamental destacar que la presencia de una deformidad no es una indicación absoluta para la cirugía, ya que muchos pacientes con deformidades en la mano aún pueden conservar una función razonable. Sin embargo, cabe mencionar que los tratamientos propuestos en este estudio tienen un período ventana para ser indicados; ante un gran colapso supinatorio del carpo, la desviación radial suele ser irreversible.
En el caso de la mano en Z con desviación radial de los metacarpianos, complicada o no con desviación cubital de los dedos, la deformidad existente produce un desequilibrio de fuerzas en los ejes tendinosos que llevan a la pérdida progresiva de la función y del eje anatómico normal y, por lo tanto, a la ineficiencia funcional progresiva. En estos casos, la deformidad debe resolverse en cuanto se diagnostica, mediante una cirugía para rebalancear las fuerzas de tracción y tensión de la muñeca y los dedos, y así evitar que la deformidad en Z empeore.
En este contexto, la cirugía que estudiamos es solo un componente de la asociación de gestos quirúrgicos (artroplastia radiocubital inferior, tenoplastia y reubicación del ECC, corrección de la luxación de los extensores de los dedos, etc.) para reconstruir y prevenir el aumento de las deformidades.
El objetivo principal de este estudio fue comparar la variación de la desviación radial de los metacarpianos lograda en pacientes operados con transferencia del ERLC al ECC o sin este procedimiento.
En nuestra serie, la corrección de la desviación radial fue mayor en el grupo con transferencia del ERLC al ECC.
Si bien la bibliografía es escasa respecto a este tema, los resultados obtenidos empleando la técnica con transferencia son comparables a los reportados en otras series. Clayton y Ferlic,7 quienes originalmente describieron esta técnica, aplicaron este procedimiento en una serie de 14 muñecas, y lograron una variación media preoperatoria y posoperatoria cercana a 17°. Ito y cols.12 publicaron una mejoría de 10° en la desviación radial utilizando la misma técnica en 28 muñecas. Estos autores también compararon si estos resultados eran reproducibles en los diferentes estadios de la artrosis radiocarpiana, y llegaron a la conclusión de que la desviación radiocubital luego de la cirugía se redujo incluso cuando el paciente tenía anquilosis de la articulación radiocarpiana.
Por otro lado, la corrección lograda en el grupo B (sin transferencia) fue de aproximadamente 1°. La diferencia entre ambos grupos podría corresponder a diversas causas: por un lado, la técnica quirúrgica en sí misma, cuyo objetivo, como ya se describió, al usar el ERLC, es lograr un mejor balance de fuerzas y una mayor corrección de la desviación radial. Sin embargo, dado que los pacientes de este grupo parten de valores preoperatorios más bajos, es decir, con menor desviación metacarpiana de su eje normal, esto podría ser una limitante para lograr una mayor variación posoperatoria. Esta diferencia entre ambos grupos probablemente se puede atribuir a la elección de la técnica por parte del cirujano, quien, con el propósito de corregir mayores desviaciones, optó por la técnica de transferencia que, desde el punto de vista biomecánico, parece ofrecer mayor resistencia.
Este estudio tiene diversas limitaciones: en primer lugar, como se ha mencionado, el punto de partida de los valores preoperatorios en la desviación radial es distinto; sin embargo, las variables demográficas no difirieron entre sí.
A pesar de que la cantidad de pacientes no es lo suficientemente grande como para establecer conclusiones estadísticas, esta serie de casos contribuye a una casuística sobre un tema con limitados estudios publicados.
Creemos que son necesarios estudios con series de casos homogéneos y a largo plazo que permitan mejorar el nivel de evidencia.
CONCLUSIONES
Sobre la base de los resultados obtenidos, consideramos que ambas técnicas mejoraron el ángulo de Clayton. Si bien el grado de corrección logrado en esta serie fue mayor con la técnica de transferencia del ERLC, los valores podrían estar supeditados a la magnitud del ángulo preoperatorio.
BIBLIOGRAFÍA
1. Smolen JS, Aletaha D, McInnes IB. Rheumatoid arthritis. Lancet 2016;388(10055):2023-38. https://doi.org/10.1016/S0140-6736(16)30173-8
2. Rizzo M, Cooney WP 3rd. Current concepts and treatment for the rheumatoid wrist. Hand Clin 2011;27(1):57-72. https://doi.org/10.1016/j.hcl.2010.09.004
3. Ilan DI, Rettig ME. Rheumatoid arthritis of the wrist. Bull Hosp Jt Dis 2003;61(3-4):179-85. PMID: 15156823
4. Backdahl M. The caput ulnae syndrome in rheumatoid arthritis. A study of the morphology, abnormal anatomv and clinical picture. Acta Rheumatol Scand Suppl 1963;5:1-75. PMID: 13965955
5. Kozlow JH, Chung KC. Current concepts in the surgical management of rheumatoid and osteoarthritic hands and wrists. Hand Clin 2011;27(1):31-41. https://doi.org/10.1016/j.hcl.2010.09.003
6. Papp SR, Athwal GS, Pichora DR. The rheumatoid wrist. J Am Acad Orthop Surg 2006;14(2):65-77. https://doi.org/10.5435/00124635-200602000-00002
7. Clayton ML, Ferlic DC. Tendon transfer for radial rotation of the wrist in rheumatoid arthritis. Clin Orthop Relat Res 1974;(100):176-85. PMID: 4838397
8. Darrach W. Habitual forward dislocation of the head of the ulna. Ann Surg 1913;57:928-30.
9. Sauvé LKIH. Nouvelle technique de traitement chirurgical des luxations récidivantes isolées de l’extrémité inférieure du cubitus. J Chir (Paris) 1936;47:589-94.
10. Blazar PE, Gancarczyk SM, Simmons BP. Rheumatoid hand and wrist surgery: Soft tissue principles and management of digital pathology. J Am Acad Orthop Surg 2019;27(21):785-93. https://doi.org/10.5435/JAAOS-D-17-00608
11. Ghattas L, Mascella F, Pomponio G. Hand surgery in rheumatoid arthritis: state of the art and suggestions for research. Rheumatology (Oxford) 2005;44(7):834-45. https://doi.org/10.1093/rheumatology/keh608
12. Ito J, Koshino T, Okamoto R, Saito T. Radiologic evaluation of the rheumatoid hand after synovectomy and extensor carpi radialis longus transfer to extensor carpi ulnaris. J Hand Surg Am 2003;28(4):585-90. https://doi.org/ 10.1016/s0363-5023(03)00202-8
Notas de autor
mariano.abrego@hospitalitaliano.org.ar
Información adicional
Nivel de
Evidencia: IV
Level of Evidence: IV
Conflicto
de intereses: Los autores no declaran conflictos de intereses.
Cómo
citar este artículo: Abrego MO, Holc F, Rellán I,
Donndorff AG, Gallucci GL, Boretto JG, De Carli P. Transferencia tendinosa del
primer radial externo al cubital posterior: ¿mejora significativamente la
corrección de la desviación radial en la muñeca reumática? Rev Asoc Argent Ortop Traumatol 2023;88(6):594-600.
https://doi.org/10.15417/issn.1852-7434.2023.88.6.1722

