Resumen: La artroplastia total de cadera es una cirugía eficaz para tratar la artrosis. Con el aumento de la necesidad de una mejor calidad de vida, este procedimiento se está realizando en pacientes más jóvenes. Pero, con la mayor expectativa de vida, también crece la demanda de múltiples cirugías de revisión para el mismo paciente. Esto plantea desafíos técnicos debido a la pérdida de hueso. Existe una necesidad creciente de identificar implantes duraderos y altamente funcionales que sean adecuados para la revisión futura. Aunque los vastagos femorales cementados eran la opción principal en el pasado, los vastagos femorales no cementados han logrado una fijación a largo plazo y excelentes resultados. Sin embargo, aún se pueden mejorar algunos problemas relacionados con la fijación. Los vastagos femorales cortos han sido desarrollados para abordar algunos de estos desafíos, mientras se mantienen los buenos resultados obtenidos con los vastagos convencionales. En este artículo, se analiza la experiencia tras 10 años de uso de vastagos femorales cortos en cirugías de cadera en pacientes jóvenes. Se comparan los resultados biomecánicos y la preservación ósea femoral, se reportan los resultados posoperatorios en relación con el regreso al deporte, y se evalúan las complicaciones relacionadas con su uso. El empleo de vástagos cortos en cirugía primaria de cadera brinda múltiples ventajas. La indicación de este tipo de implante está justificada en pacientes jóvenes y activos, con el objetivo de reproducir los resultados de los implantes convencionales con un menor consumo de hueso y la posibilidad de una revisión futura.
Palabras clave: Artroplastia total de cadera,tallo corto,artrosis de cadera.
Abstract: Total hip arthroplasty is an effective surgery to treat osteoarthritis. Given the rising demand for a higher quality of life, this procedure is being performed on increasingly younger patients. However, a longer life expectancy is also tied to a higher demand for multiple revision surgeries for the same patient. This poses technical challenges due to bone loss. There is a growing need to identify durable and highly functional implants that are suitable for future revision. Although cemented femoral stems were the main option in the past, uncemented femoral stems have demonstrated long-term fixation and excellent results. However, some issues related to fixation can still be improved. Short femoral stems have been developed to address some of these challenges while maintaining the good results obtained with conventional stems. This study analyzes the experience after 10 years of using short femoral stems in hip surgeries on young patients. Biomechanical outcomes and femoral bone preservation are compared, postoperative outcomes regarding return to sports are reported, and complications related to their use are evaluated. Short stems have multiple advantages when used in primary hip surgery. The indication for this type of implant is justified in young and active patients, to reproduce the results of conventional implants with less bone consumption and the possibility of future revision.
Keywords: Total hip arthroplasty, short stem, hip osteoarthrosis.
ARTÍCULO ESPECIAL
Vástagos femorales cortos para el reemplazo total de cadera primario en pacientes jóvenes. Resultados clínicos y biomecánicos*
Short Femoral Stems for Primary Total Hip Arthroplasty in Young Patients: Clinical and Biomechanical Outcomes*
Autor de correspondencia: cm.lucero@hotmail.com

La artroplastia total de cadera (ATC) es un procedimiento clínico, funcional y radiológicamente exitoso para el tratamiento de la enfermedad degenerativa de la cadera.1,2 En las últimas tres décadas, la cantidad de pacientes sometidos a una ATC ha crecido sustancialmente, y la esperanza de vida y el nivel de actividad han aumentado en forma concomitante,3 lo que podría implicar un incremento de la cirugía de revisión en el futuro.4 Esto ha despertado un interés en los diseños de prótesis que preserven hueso y que permitan un abordaje quirúrgico mínimamente invasivo y conservador de tejidos, para tratar de facilitar las futuras revisiones de la ATC sin afectar los resultados quirúrgicos y la supervivencia de la cirugía índice.
La ATC no cementada se ha convertido en la opción de fijación estándar en los Estados Unidos, Canadá y muchos países europeos, y se utiliza en más del 90% de todas las ATC primarias.5,6 Sin embargo, a pesar del éxito observado con estos componentes y teniendo en cuenta la extensión de su indicación, han surgido diversos desafíos particulares para las tecnologías de fijación no cementadas en pacientes más jóvenes. Estos desafíos incluyen:
1. Preservación del capital óseo femoral proximal.
2. Potencial necesidad de una revisión eficaz del componente femoral.
3. Desajuste anatomomorfológico femoral por discordancia proximal-distal.
4. Capacidad de insertar implantes de forma segura y reproducible.
Los implantes femorales no cementados de vástago corto se han desarrollado para abordar algunos de estos desafíos en tanto y en cuanto no disminuyan el nivel actual de éxito alcanzado por los implantes no cementados de longitud convencional. El riesgo de revisión de la ATC en los pacientes jóvenes persiste como producto del desgaste inducido por el debris de micropartículas de metal y polietileno, la fractura periprotésica temprana y tardía, el aflojamiento aséptico y la pérdida ósea inducida por desfuncionalización del fémur proximal. Algunas de estas complicaciones se deben a la carga no fisiológica del fémur. Respondiendo a las demandas de una población de pacientes cada vez más joven y activa, los avances recientes en la artroplastia de cadera tienen como objetivo minimizar el daño tisular y preservar el capital óseo sin comprometer la estabilidad del implante. Esto ha dado como resultado la introducción de implantes innovadores que preservan el capital óseo femoral, como las ATC de vástago corto,7 con el objetivo de preservar hueso para futuras revisiones.
El éxito de la ATC se basa en la estabilidad tanto rotatoria como axial inicial (fijación por interferencia),8 encargada de promover la fijación final del implante a largo plazo (fijación definitiva). Existen distintos tipos de fijación no cementada que condicionan, a su vez, la preparación femoral. Por un lado, hay vástagos con una fijación exclusivamente metafisaria (se “raspan” solo en su preparación femoral), forma acuñada y habitualmente tienen una cubierta porosa proximal de titanio (recubierto o no), mientras que su superficie distal suele ser rugosa (en muy pocos casos, la superficie distal es pulida). En segundo lugar, existen vástagos que tienen una fijación anatómica (se “raspan y se fresan’ para su preparación femoral), suelen tener una superficie porosa completa para poder ocupar toda la cavidad metafisaria y diafisaria tanto en la radiografía de frente como en la de perfil. Finalmente, están los tallos con fijación distal, esto es, exclusivamente diafisaria (solo se “fresan” para su preparación femoral); suelen utilizarse en las cirugías primarias de cadera en casos de displasia para poder “puentear” cuellos femorales muy anteversos o metáfisis con gran deformidad extrarticular. Los implantes modernos que mejor promueven la carga fisiológica han sido, históricamente, los vástagos de longitud convencional en forma de cuña metafisaria (esto es, los que solo se raspan para su colocación) que se han asociado a menos osteólisis del fémur proximal a largo plazo.
Todos los vástagos diseñados para ser menos invasivos que los vástagos no cementados convencionales se denominan comúnmente “vástagos cortos” (salvo los reemplazos de superficie que, a pesar de preservar capital óseo, no tienen tallo per se). Los implantes de vástago corto se han definido como aquellos que miden <120 mm de largo, que normalmente coincide con la unión metafisodiafisaria. Un estudio reciente mostró que reducir la longitud del vástago a menos de 105 mm no disminuiría la estabilidad por interferencia de los implantes de fijación no cementada.9 Sin embargo, este término es engañoso, porque se refiere a un grupo heterogéneo de vástagos diferentes en términos de diseño, biomecánica y principios de fijación. Es por ello que se han desarrollado diversos sistemas de clasificación teniendo en cuenta características, como la longitud del vástago, la ubicación de la carga, el nivel de la osteotomía para la resección del cuello y los principios de fijación del implante.10,11 McTighe y cols.10han propuesto una clasificación basada en los tres tipos principales de fijación de implantes de vástago corto:
1. Metafisaria estabilizada (resección de cuello estándar).
2. Cuello estabilizado (preservación del cuello femoral).
3. Cabeza estabilizada (prótesis de superficie).
Los implantes de vástago corto con resección de cuello estándar pueden clasificarse, además, en anatómicos e implantes de fijación en cuña. Estos implantes también tienden a ser versiones acortadas de los implantes no cementados convencionales. En cambio, los implantes que preservan el cuello femoral se adaptan a la anteversión del cuello femoral remanente en función del nivel de la osteotomía efectuada.12
Khanuja y cols.,13 en 2014, trataron de dar respuesta a esta cuestión. Dada la existencia de distintos tipos de fijación proximal, los autores clasifican los tallos cortos en cuatro grandes grupos que, a su vez, presentan subgrupos: tipo 1A, prótesis de apoyo exclusivo en el cuello de sección trapezoidal; tipo 1B, prótesis de apoyo exclusivo en el cuello con geometría redondeada y con estrías para la estabilidad rotatoria; tipo 1C, prótesis de apoyo exclusivo en el cuello con la geometría estriada para la estabilidad rotatoria; tipo 2A, prótesis de carga en calcar de sección trapezoidal y de diseño en cuña; tipo 2B, prótesis de carga en calcar de sección redondeada y preservación parcial del cuello femoral; tipo 2C, vástago de preservación cervical con fijación en la cortical metafisaria lateral; tipo 2D, o diseño en tornillo-placa que comprime el calcar contra la cortical externa metafisaria; tipo 3, vástagos con extensión trocantérica lateral, y tipo 4, vástago de diseño convencional, pero acortado en longitud, buscando solo fijación metafisaria (Figura 1).
La remodelación ósea periprotésica del fémur proximal es un factor importante para lograr la estabilidad a largo plazo de un implante. Esta depende de su geometría y el canal femoral, y de la relación de las transferencias de cargas del implante al hueso. La estabilidad de estos vástagos más cortos depende de su fijación metafisaria, la cual es un requisito para la transferencia de carga proximal óptima.14,15 Los estudios biomecánicos han demostrado que la optimización de la transferencia de carga proximal tiene un impacto positivo en la preservación de capital óseo. Chen y cols.16 analizaron el capital óseo en pacientes que se habían sometido a una ATC con un vástago corto de Mayo (Zimmer International, Warsaw, IN, EE.UU.). A través del análisis de absorciometría de rayos X de energía dual (DEXA), se ha demostrado solo una pérdida ósea media del 3,3% en pacientes con vástagos cortos, en comparación con el estándar de la bibliografía del 20% con implantes de longitud convencional.17 Sin embargo, cabe destacar que, en un estudio controlado aleatorizado,18 se comparó la remodelación ósea entre un vástago acortado y otro de longitud convencional, a través de un análisis libre de región de absorciometría dual de rayos X (DEXA-RFA). Los autores identificaron un consumo de capital óseo periprotésico en el calcar, y la cara lateral y proximal femoral en ambos grupos (p <0,05). Es decir, la remodelación ósea femoral impresiona ser multifactorial, condicionada por la anatomía del fémur proximal, la osteopenia previa, la preparación femoral intraoperatoria y el grado de fijación por interferencia logrado en la cirugía índice. Sin embargo, no es un dato menor que la geometría del vástago y su longitud (corto vs. convencional) podrían tener una influencia significativa a largo plazo en la remodelación ósea y eso aún está por esclarecerse con nuevos estudios aleatorizados; de allí, el interés actual en los vástagos cortos.
Los vástagos cortos que preservan el cuello constituyen una alternativa alentadora frente a los vástagos convencionales no cementados; principalmente esto se debe a su naturaleza de preservación ósea que permitiría una cirugía de revisión más fácil, así como ventajas biomecánicas como una potencial mejoría en la transmisión de carga axial. Por otro lado, la osteointegración podría ser más favorable debido a la reducción del movimiento cíclico después de la implantación. Los efectos del stress shielding se reducen mediante una mayor carga fisiológica del fémur debido a la menor rigidez a la flexión del nuevo vástago. En este sentido, se ha propuesto que el uso de un vástago femoral corto podría tener diversas ventajas:
1. Preservación del capital óseo y los tejidos blandos, en las regiones trocantérica mayor y subtrocantérica, en el momento de la implantación para futuras revisiones.19
2. Disminución del stress shielding, causada por la reabsorción del hueso metafisario y la hipertrofia cortical diafisaria.20
3. Disminución de la concentración de la tensión en la punta del vástago, lo que, según se demostró en un componente tradicional, es la causa de dolor en el muslo.20,21
4. El efecto de banda de tensión de la cintilla iliotibial proporciona fuerzas de compresión tanto medial como lateralmente en el fémur proximal.22 La cortical lateral proporciona un fuerte apoyo como segunda columna de compresión.22,23
5. La transferencia de carga a la metáfisis de una dirección superior a una inferior de manera fisiológica.22,23,24
6. Versatilidad en la cirugía de revisión debido al abordaje mínimamente invasivo, menos daño a los tejidos blandos y el capital óseo intacto debajo del trocánter menor.22,23

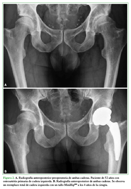
Desde el punto de vista demográfico, es de preferencia su implantación en pacientes jóvenes (≤55 años), aunque en una menor proporción (15%), pueden ser empleados en pacientes de entre 55 y 60 años que practiquen deportes de manera recreativa (Figura 2A y B). Es un requisito que este grupo de pacientes tenga un capital óseo metafisario adecuado junto con un cuello femoral intacto, un calcar morfológicamente normal y una cortical femoral lateral distal suficiente para lograr una correcta fijación y la restauración anatómica.

Las contraindicaciones para el uso de vástagos cortos en cirugía primaria de cadera incluyen la edad >60 años, una deformidad traslacional metafisaria severa del fémur, osteoporosis severa o patologías en las que exista una importante discordancia entre el tamaño del cuello y la metáfisis femoral, por ejemplo, en una osteocondromatosis múltiple (Figura 3).

Durante la cirugía, debe confirmarse que la calidad del hueso sea la adecuada para su implantación y que el área del cuello femoral sea lo suficientemente fuerte para soportar la transmisión de carga de un vástago corto. Es por ello que, si no se cumple dicho requisito, los autores recomiendan siempre disponer de un vástago no cementado de longitud convencional.
Nuestro interés por los vástagos cortos comenzó en 2010, cuando los resultados de la artroplastia de superficie empezaron a ser deficientes debido a la liberación de partículas de metal derivadas de la superficie de fricción, ocasionando reacciones adversas, tales como metalosis, seudotumores y fallas a corto plazo, con complicaciones asociadas a las cirugías de revisión en estos pacientes.25 Luego de un análisis detallado de los vástagos cortos disponibles en nuestro país, nos decidimos por un sistema con recubrimiento similar al que utilizábamos en los vástagos no cementados convencionales, con resultados excelentes a 20 años de seguimiento.26 La hidroxiapatita, así como también la superficie de carga, eran exactamente iguales a las que usábamos en ese momento. Este diseño elegido estaba aprobado por la Food and Drug Administration y comenzaba a ser popular en Alemania y el Reino Unido, y no solo era más corto que un vástago convencional no cementado, sino que también, según diversas publicaciones, conservaba parte del cuello femoral.25,27 Hay nueve opciones de tamaño con un ángulo cervicometafisario de 130°, y sus estrías longitudinales están diseñadas para resistir fuerzas torsionales.
Material y Métodos
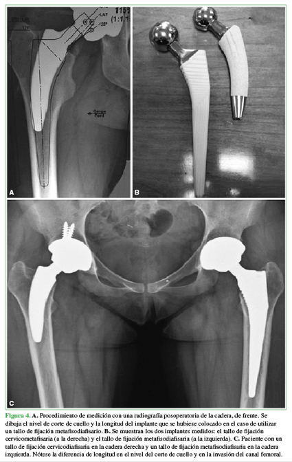
Se llevó a cabo un estudio retrospectivo comparativo en el que se analizaron los primeros 50 vástagos cortos (MiniHipTM, Corin, Cirencester, Reino Unido) con el objetivo de determinar radiográficamente la preservación de capital óseo femoral cuando se había utilizado un vástago corto de fijación cervicometafisaria.27 Fueron analizados con radiografías de frente, midiendo el nivel de resección cervical y la longitud del vástago. Estos fueron comparados con las filminas de un vástago convencional de fijación metafisodiafisaria (MetaFixTM, Corin, Cirencester, Reino Unido).
La edad promedio de los pacientes fue de 46.7 años (rango 21-62); 38 pacientes eran de sexo masculino y 12, de sexo femenino. Los diagnósticos principales fueron artrosis degenerativa (42 casos), displasia del desarrollo de la cadera (5 casos), osteonecrosis (2 casos) y condrólisis idiopática (1 caso). Todos los implantes fueron colocados por el mismo cirujano a través de un abordaje posterolateral con anestesia raquídea.
La programación preoperatoria de los vástagos cortos se realizó según el método descrito por Salvati y cols.,28 y estuvo a cargo de un cirujano con más de 10 años de experiencia en el empleo de este método. Las radiografías posoperatorias digitales de los pacientes en los cuales se implantó un vástago de fijación cervicometafisaria fueron analizadas por dos observadores independientes, superponiendo las filminas de un vástago de fijación metafiso-diafisaria con recubrimiento de hidroxiapatita (MetaFixTM). Se dibujó la longitud del vástago convencional y el nivel de corte del cuello femoral necesario para implantar este tallo. A continuación, se cuantificó la diferencia de preservación ósea longitudinal entre ambos implantes a nivel del cuello femoral y a nivel diafisario, el total como resultado de la suma de ambas mediciones y las longitudes de cada implante (Figura 4A y B).
Los vástagos cortos de fijación cervicometafisaria preservaron radiográficamente, en promedio, 77 mm al compararlos con aquellos de longitud convencional. El corte de cuello en los vástagos convencionales fue entre 3 y 15 mm más distal que con los vástagos cortos (promedio 10 mm). Los implantes convencionales ocuparon 66 mm más de diáfisis (rango 41-81) que los vástagos cortos (p <0,001). La longitud promedio de los vástagos cortos implantados fue de 82 mm (rango 68-102). La longitud promedio de los vástagos convencionales de fijación metafisodiafisaria fue de 142 mm (rango 132-151) (p <0,001) (Tabla 1). De acuerdo con estos resultados, los vástagos cortos permitieron preservar radiográficamente un 42% de longitud ósea comparados con los vástagos de fijación metafisodiafisaria (Figura 4C).
Material y Métodos
Se realizó un estudio descriptivo retrospectivo29 que incluyó 124 pacientes con una edad promedio de 52 años (rango 26-65). Se analizaron tres grupos de pacientes: el primer grupo consistió en 36 pacientes a los que se les implantó una prótesis de vástago corto MiniHipTM, el segundo grupo incluyó a 46 pacientes con una prótesis total de cadera convencional no cementada Corail® (DePuy-Synthes, Warsaw, IN, EEUU.), y el tercero incluyó a 42 pacientes tratados con una prótesis de superficie (Durom, Zimmer, Warwae, IN, EE.UU.).


Después de la aprobación del Comité de Ética institucional, el estudio incluyó a pacientes <65 años que tenían artrosis de cadera y una cadera contralateral sana o con artrosis incipiente (Tönnis 0 o 1),30 que se utilizó como control para los parámetros biomecánicos. Todas las cirugías se realizaron a través de un abordaje posterolateral. Se excluyeron las artroplastias bilaterales simultáneas, así como las fracturas u otros diagnósticos o cualquier antecedente quirúrgico de la cadera afectada.
Las mediciones radiográficas fueron realizadas por tres observadores independientes utilizando un sistema de imagen digital (RAIMViewer, EE.UU.) previamente calibrado con el tamaño del implante de la cabeza femoral. Los tres observadores analizaron tres subgrupos diferentes de pacientes. El mismo observador midió el posoperatorio y la cadera contralateral sana para evitar el sesgo interobservador.
La discrepancia en la longitud de miembros inferiores se midió en las radiografías utilizando el punto final distal del signo de la lágrima y el trocánter menor como referencias. Una vez obtenido el valor de discrepancia, se restó la discrepancia del centro de rotación para excluir el factor acetabular y obtener los datos de discrepancia solo del fémur. El desplazamiento femoral (offset) se evaluó midiendo la distancia entre el eje de la diáfisis femoral y el centro de rotación de la cabeza femoral.
El centro de rotación horizontal se definió como la distancia entre el centro de rotación de la cadera y el centro del extremo distal del signo de la lágrima. El centro de rotación vertical se midió desde el centro de rotación de la cabeza femoral hasta una línea que pasa por los dos vértices del extremo distal del signo de la lágrima.
La inclinación acetabular se calculó utilizando el ángulo entre una línea que pasa por los dos vértices del extremo distal del signo de la lágrima y el eje del componente acetabular. La anteversión acetabular se midió utilizando el método de Lewinnek31 (arco seno inverso del ancho de la elipse sobre el diámetro externo del implante). Se determinó si la posición de la copa estaba dentro de la zona segura de Lewinnek (40 ± 10° de inclinación y 15 ± 10° de anteversión).
Centro de rotación horizontal
Las discrepancias promedio del centro de rotación horizontal no fueron estadísticamente significativas al comparar las tres prótesis (p = 0,275). El centro de rotación horizontal fue ligeramente medializado en el grupo con vástago corto (-0,09 mm; p = 0,189) y en el grupo con vástago convencional (-0,58; p = 0,39), mientras que fue ligeramente lateralizado en el grupo con prótesis de superficie (0,51 mm; p = 0,45). En 16 casos de vástago corto (44,4%), 29 casos de vástago convencional (63%) y 28 casos de prótesis de superficie (66,6%), el centro de rotación horizontal se restituyó entre ± 3 mm (p = 0,85).
Las diferencias en el centro de rotación vertical entre los tres grupos no fueron estadísticamente significativas (p = 0,425). El centro de rotación vertical fue más proximal con las tres prótesis: 1,75 mm (p = 0,021) en el grupo con vástago corto, 1,32 mm (p = 0,021) en el grupo con vástago convencional y 2,34 mm (p = 0,001) en el grupo de prótesis de superficie. En 17 casos de vástago corto (52,7%), 34 casos de vástago convencional (73,9%) y 23 casos de prótesis de superficie (54,7%), el centro de rotación vertical se recuperó en 3 mm (p = 0,08).
La discrepancia promedio en la longitud de las piernas fue de 1,19 mm en el grupo con vástago corto; 2,31 mm en el grupo con vástago convencional y 2,11 mm en el de prótesis de superficie (p <0,001). En el 67,3% con prótesis de superficie, la restauración se mantuvo en un rango inferior a ± 5 mm (p = 0,103). La discrepancia femoral de longitud tuvo un promedio de -0,87 mm en el grupo con vástago corto, 0,34 mm en el grupo con vástago convencional y -4,44 mm en el grupo de prótesis de superficie (p = 0,003).
La diferencia de offset femoral promedio entre los tres grupos fue estadísticamente significativa (p = 0,0001). Cuando se comparó con el lado sano contralateral, el desplazamiento lateral posoperatorio promedio aumentó 3,51 mm en el grupo con vástago corto (p = 0,001) y 1,71 mm en el grupo con vástago convencional (p = 0,081), mientras que se redujo 3,95 mm en el grupo de prótesis de superficie (p = 0,001). El desplazamiento femoral estuvo dentro de ± 5 mm en 23 casos de vástago corto (63,8%); 33 casos de vástago convencional (71,7%) y 27 casos de prótesis de superficie (64,2%) (p = 0,683) (Tabla 2).

Material y Métodos
En un estudio retrospectivo,32 se analizaron prospectivamente los primeros 84 pacientes (100 caderas) tratados con una ATC con un vástago corto tipo 2B.13,33 Estos casos incluyeron la curva de aprendizaje del cirujano. Dieciséis pacientes fueron operados secuencialmente, de ambos lados, el mismo día. La edad promedio fue de 47 años (rango 17-58). En esta serie, las indicaciones de un vástago corto fueron: pacientes jóvenes con una edad máxima de 55 años (85 casos) y pacientes de entre 56 y 60 años que habían practicado deportes de impacto en el pasado (15 casos). Los deportes o actividades definidos como de impacto fueron: correr, fútbol, taekwondo, squash y entrenadores de gimnasia aeróbica. El índice de masa corporal (IMC) promedio del grupo fue 27 kg/m2 (rango 22-37). El diagnóstico primario fue artrosis primaria (82 casos), displasia del desarrollo (6 casos), osteonecrosis (8 casos), condrólisis idiopática (2 casos), secuela de enfermedad de Perthes (1 caso) y sinovitis vellonodular pigmentada (1 caso).
La planificación preoperatoria es un paso fundamental y obligatorio que puede realizarse de acuerdo con métodos analógicos o convencionales.34 Según la técnica quirúrgica, se planifica, de manera precisa, el corte del cuello femoral para evitar la elongación excesiva de la pierna operada y calcular la lateralización del fémur. En casos con lateralización aumentada, se realiza un corte de cuello más vertical y, en casos de lateralización disminuida, un corte de cuello más horizontal, como bien fue descrito por Teoh y cols.35 El punto de entrada en el fémur se calcula 4 mm lateral al centro del cuello femoral. Con el propósito de evitar una perforación cortical, se puede adicionar un paso a la técnica quirúrgica original utilizando una pinza vascular curva en la dirección del canal femoral. Tras confirmar la ubicación correcta del instrumental iniciador en el canal endomedular, se procede a colocar la primera raspa iniciadora. Seguidamente, se compacta el hueso femoral proximal con las raspas de tamaño progresivo hasta obtener la estabilidad rotatoria y el contacto cortical lateral.
La supervivencia del vástago libre de falla aséptica fue del 99% (IC95% 93,1-99,8%) en un seguimiento promedio de 42 meses (rango 24-64) y del 98% cuando se incluyó la infección. Ningún paciente se perdió en el seguimiento. La principal complicación ocurrió en el caso 6 (enumerado en orden cronológico de inclusión en el estudio según la fecha de cirugía): una perforación de la cortical lateral (Figura 5A) que fue tratada el mismo día, durante la cirugía, con revisión del vástago corto a uno de longitud convencional de fijación metafisodiafisaria recubierto con hidroxiapatita (Figura 5B). Asimismo, se registraron tres fracturas intraoperatorias incompletas del calcar (3%), de las cuales una sola requirió de un cerclaje con alambre y descarga parcial durante los primeros 30 días posquirúrgicos.

Hubo un caso de hundimiento de 4 mm, que fue estabilizado a los 45 días de la operación tras descarga de peso, sin necesidad de tratamiento quirúrgico subsiguiente debido a la ausencia de síntomas.
No se registraron casos de dolor de muslo ni luxaciones. El puntaje funcional promedio de Harris (HHS) mejoró significativamente de 55 antes de la cirugía a 96 (rango 82-100) en el último seguimiento (p <0,05). En el último control, 24 pacientes corrían más de 5 km/semana, 18 nadaban 1 o 2 veces/semana, 12 de ellos andaban en bicicleta más de 2 horas/semana, ocho practicaban golf sin restricción, seis jugaban fútbol no competitivo, seis practicaban artes marciales, dos de ellos jugaban básquet y uno retomó el squash. El promedio de actividad deportiva semanal fue de 6 horas, y 20 pacientes practicaban más de una disciplina deportiva en el último seguimiento. El retorno a la actividad deportiva se produjo, en promedio, a los 4.4 meses (rango 3-7).
En todos los casos, se comprobó la incorporación ósea según la clasificación de Engh.36
Ningún vástago evidenció líneas radiolúcidas. El promedio de discrepancia de miembros fue de 1,7 mm (rango de -4,7 a +7). La lateralización femoral promedio aumentó 4,6 mm (rango de 4 a +7). Seis pacientes tuvieron remodelación ósea del cuello femoral y tres, hipertrofia de la cortical lateral. Uno sufrió una infección aguda profunda que fue tratada exitosamente con desbridamiento, retención de componentes y antibióticos.
Material y Métodos
Con el objetivo de describir y cuantificar el tipo y la intensidad de la actividad física realizada por pacientes jóvenes operados con una artroplastia de superficie y aquellos en los cuales se implantó un vástago corto de fijación cervicometafisaria, se evaluaron 55 pacientes operados por el mismo equipo quirúrgico. Se trató de un estudio comparativo37 con dos grupos de cohorte asociados temporalmente dado el cambio en la indicación en relación con las complicaciones reportadas con el par de fricción metalmetal. Se realizó una comparación entre las últimas 31 prótesis de superficie y las primeras 31 prótesis de vástago corto.
En el primer grupo de pacientes, se implantaron 31 prótesis de superficie consecutivas (Durom), una de ellas bilateral y, en el segundo grupo, 31 prótesis de fijación cervicometafisaria consecutivas, seis de ellas bilaterales. El promedio de edad para las prótesis de superficie fue de 44.6 años (rango 34-57) y 51.5 años (rango 36-66) para el grupo de prótesis de fijación cervicometafisaria. Todos los pacientes eran activos con artrosis primaria avanzada de cadera.
Todos fueron operados bajo anestesia raquídea en quirófano de flujo laminar a través de un abordaje posterolateral. El protocolo de rehabilitación incluyó la movilización precoz a las 24 horas con carga total según la tolerancia al dolor. Durante las primeras tres semanas, utilizaron dos bastones canadienses y luego un bastón de marcha por una a dos semanas más de acuerdo con la evolución.
Se realizó un estudio descriptivo utilizando el puntaje de la Universidad de Los Ángeles en California (UCLA), determinando la actividad física alcanzada (tipo y cantidad de horas semanales) al final del seguimiento, grado de satisfacción personal durante la práctica deportiva a través de una escala analógica visual y la necesidad de analgésicos antes de la actividad física y después.
El seguimiento promedio fue 24 meses (rango 12-66). Las pautas dadas a los pacientes fueron homogéneas permitiéndoles actividad plena a los seis meses de la cirugía. Se constató la actividad deportiva de contacto en 15 pacientes en el grupo de prótesis de superficie y 10 en el grupo de vástagos cortos. Los deportes más habituales fueron fútbol y básquet, y el mejor tolerado fue el ciclismo, donde aun sin ser de contacto, se logró un alto rendimiento en la serie.
El puntaje de la UCLA promedio fue de 9,5 para el grupo de prótesis de superficie y de 8,5 para el grupo de prótesis de fijación metafisaria. El grado de satisfacción personal se correspondió con los resultados obtenidos en el puntaje de la UCLA. Ambos grupos realizaron, en promedio, 6 horas semanales de actividad física. El tiempo desde la cirugía hasta el comienzo de la actividad física fue de 6.3 meses para el grupo de prótesis de superficie frente a 4.4 meses para el de prótesis de vástago corto (p = 0,0031).
En esta serie de pacientes, ambos implantes permitieron desarrollar actividad física de contacto con una regularidad comparable en ambos grupos. Sin embargo, los pacientes con un vástago corto, si bien requirieron un mayor consumo de analgésicos posoperatorios al realizar actividad física, retornaron antes al deporte en comparación con los sometidos a una artroplastia de superficie (Figura 6).

Material y Métodos
Se analizó prospectivamente una serie consecutiva de 1100 ATC primarias38 de las cuales 20 eran cementadas, 247 híbridas y 833 no cementadas. De este último grupo, 506 se trataron con el vástago cónico totalmente recubierto de hidroxiapatita Corail® y 117 con el vástago corto cervicometafisario MiniHipTM, respectivamente. La elección del implante se basó en las expectativas del paciente, la morfología femoral proximal, la planificación digital preoperatoria y la elección del cirujano.
Se incluyeron consecutivamente todos los pacientes adultos <55 años; por lo tanto, 300 y 14 fueron excluidos en el grupo Corail® y MiniHipTM, respectivamente. Sesenta casos operados con el vástago Corail® y dos casos con el vástago MiniHipTM se perdieron durante el seguimiento y, por lo tanto, se excluyeron, quedaron 247 ATC no cementadas en 220 pacientes para analizar. Once y 16 pacientes se sometieron a una ATC bilateral en un tiempo en el grupo con vástago convencional y corto, respectivamente. La edad media de la serie fue de 46 años (rango 17-55) (p = 0,16). Hubo 87 y 62 hombres en el grupo Corail® y MiniHipTM, respectivamente (p = 0,11). El seguimiento medio fue de 7.7 años (rango 5-10) para el grupo de vástago convencional y de 7.3 años (rango 5-9) para la cohorte de vástago corto (p = 0,07).
No hubo diferencia en cuanto al tiempo quirúrgico medio y el tiempo medio de internación entre ambos grupos. Ninguno de los pacientes requirió transfusión de sangre. Hubo una mejoría significativa en el HHS al comparar los valores preoperatorios y posoperatorios en ambos grupos (p <0,001).
La preservación media de la longitud del cuello femoral fue el doble en los pacientes tratados con un vástago corto [13,6 mm en el vástago convencional vs. 25,9 mm en el vástago corto (p = 0,001)] (Figura 7), mientras que la invasión diafisaria media fue tres veces menor en el grupo de vástago corto [114,5 vs. 39,7 mm (p = 0,001)].

Veinte (8,1%) ATC presentaron radiolucencias metafisarias sintomáticas alrededor del vástago en el grupo Corail® (p = 0,001), todas en las zonas de Gruen31 1, 7, 8 y 14 y se detectaron después del primer año posoperatorio, con progresión radiográfica y relevancia clínica durante el seguimiento. No hubo evidencia de osteólisis de la prótesis alrededor del componente femoral. Seis (4%) y cinco (5%) pacientes del grupo Corail® y MiniHipTM presentaron un hundimiento femoral inicial <3 mm, sin mayor progresión, sin síntomas hasta el último seguimiento (p = 0,75).
En el grupo de vástago convencional, cinco casos tuvieron un aflojamiento aséptico del componente femoral debido al debonding metafisario,39 tratados con una revisión en un tiempo (p = 0,06), y un caso sufrió una falla séptica que fue tratada quirúrgicamente con una revisión en dos tiempos (p = 0,41).
Cinco caderas (3,4%) en el grupo Corail® y tres (3%) en el grupo MiniHipTM sufrieron una fractura femoral periprotésica intraoperatoria (p = 0,84). Todas, excepto una, fueron fracturas de calcar no desplazadas sin compromiso más allá del trocánter menor (Vancouver A2) y, por tanto, tratadas con cerclajes de alambre y carga parcial sin secuelas. El paciente restante en el grupo MiniHipTM fue revisado a un vástago recubierto de hidroxiapatita convencional (MetaFixTM) debido una perforación intraoperatoria de la cortical lateral (Vancouver A1).
La radiolucidez femoral metafisaria sintomática39 se evidenció en el 13,7% de los pacientes del grupo Corail® (20 vs. 0, p = 0,001). Este fenómeno se relacionó con el IMC aumentado, morfología Dorr B y una superficie de fricción duradura (metal-metal o cerámica-cerámica). Todos los pacientes refirieron dolor de muslo tolerable durante las actividades deportivas de impacto y 10 de ellos durante las actividades de la vida diaria. Cinco se perdieron durante el seguimiento. Seis se negaron a someterse a una cirugía de revisión porque consideraban que sus síntomas eran tolerables. Los nueve casos restantes se encuentran en seguimiento, ya sea en espera de cirugía o sin certeza de someterse al procedimiento.
El aflojamiento aséptico del vástago fue más frecuente en el grupo Corail® que en el grupo MiniHipTM [5 (3,4 %) vs. 0, p = 0,06)]: cuatro pacientes fueron revisados a un vástago estriado no cementado modular (ZMR®, Zimmer, Warsaw, IN, EE.UU.), y uno a un vástago cementado largo (VerSys®, Zimmer Biomet, Warsaw, IN, EE.UU.).
A un seguimiento medio de 7.6 años, tomando como punto final la revisión del vástago por cualquier motivo, la supervivencia fue del 95,9% y del 99% para los grupos Corail® y MiniHipTM, respectivamente (p = 0,15).
Material y Métodos
Se llevó a cabo un análisis prospectivo de una serie consecutiva de 190 casos que se sometieron a una ATC primaria, 89 de ellos tratados con un vástago corto collum femoris preserving (CFPTM, LINK, Alemania) y 101 con un vástago corto MiniHipTM.40 Ambos fueron clasificados como diseños de “columna parcial” con osteotomía que preserva el cuello, como lo describen Falez y cols.41 El objetivo principal de este estudio fue comparar los resultados clínico y radiológico de ambos vástagos, con especial interés en la fractura periprotésica intraoperatoria (FPPI).
La serie constó de 151 hombres y 39 mujeres, la distribución fue similar entre los dos grupos (p = 0,12). La edad media fue de 47 años (DE ± 8.92), sin diferencia estadística entre los dos grupos (p = 0,93). El IMC medio fue de 28 kg/m2 (DE ± 4,06). Los diagnósticos que llevaron a la cirugía fueron los siguientes: artrosis primaria en 151 casos, necrosis avascular en 18 casos, displasia en 16 casos, cambios degenerativos postraumáticos tras fractura acetabular en cuatro casos y condrólisis idiopática en un caso. No hubo diferencias estadísticas en cuanto a la distribución de diagnósticos entre ambos grupos (p = 0,816). La mediana de seguimiento fue de 72 meses (rango intercuartílico [RIC]: 66-81), sin diferencias entre ambos grupos (p = 0,43).
La evaluación radiológica se realizó a través de una radiografía anteroposterior de la pelvis, una vista axial lateral de Dunn modificada y una vista de perfil falso. Se analizaron las radiografías posoperatorias para detectar osteólisis y eventual radiolucencia progresiva y hundimiento. Se registraron todas las complicaciones intraoperatorias o posoperatorias relacionadas o no con el procedimiento quirúrgico.
Los pacientes fueron seguidos prospectivamente a las 2 semanas, 6 semanas y a los 3 y 6 meses después de la cirugía, y luego anualmente. Los pacientes fueron evaluados con el HHS modificado (HHSm) antes de la operación y después.
El HHSm medio mejoró de 54,39 (DE ± 10,53) a 95,93 (DE ± 2,73) en el grupo MiniHipTM (p <0,001) y de 64,07 (DE ± 10,39) a 98,21 (DE ± 2,86) en el grupo CFPTM (p <0,001). Cuatro pacientes tenían un hundimiento inicial (<2 mm) en el grupo MiniHipTM, todos ellos asintomáticos. No hubo casos de hundimiento en la cohorte de CFPTM y no hubo diferencias entre ambos grupos (p = 0,643). Se detectaron 0 y 2 (2,25%) casos de osteólisis femoral proximal alrededor de los vástagos MiniHipTM y CFPTM, respectivamente (p = 0,834). Se observaron radiolucencias femorales <2 mm de ancho alrededor de dos vástagos MiniHipTM (1,98%) y seis CFPTM (6,74%) (p = 0,15), sin relevancia clínica. La mediana de reabsorción del cuello femoral fue de 1 mm en el grupo MiniHipTM (RIC 1-2) y de 0 mm en el de CFPTM (RIC 0-1) (p = 0,06). La mediana de hipertrofia de la corteza lateral fue de 0 mm para ambos grupos (p = 0,306), mientras que la hipertrofia cervical se observó en tres casos del vástago MiniHipTM y en cuatro del CFPTM (p = 0,708).
No se observaron diferencias significativas en cuanto a aflojamiento, infección e inestabilidad. En total, hubo cinco complicaciones posoperatorias (2,63%), cuatro en el grupo MiniHipTM y una en el grupo CFPTM. Hubo dos aflojamientos asépticos del componente acetabular (tratados con ATC de revisión en un tiempo) y una infección aguda del sitio quirúrgico en el grupo MiniHipTM, que se trató con éxito con irrigación y desbridamiento y preservación del implante. Además, hubo un caso de fractura periprotésica posoperatoria Vancouver B2 después de una caída accidental 45 días después de la cirugía. El paciente se sometió a una cirugía de revisión con un vástago ZMR® modular no cementado. En el grupo de CFPTM, solo se evidenció un aflojamiento séptico que se trató con una ATC de revisión en un tiempo con una copa de cubierta porosa primaria no cementada y un vástago ZMR® modular no cementado fijado distalmente. No hubo casos de inestabilidad o dolor residual en el muslo en ninguna de las cohortes.
Con respecto a las complicaciones intraoperatorias, en total, se observaron seis PPFI (7/190 = 3,68%), tres en el grupo MiniHipTM (1 Vancouver tipo A1 y 2 tipo A2) y tres en el grupo CFPTM (3 Vancouver tipo B2 y 1 tipo C3). En el grupo MiniHipTM, hubo una perforación cortical lateral clasificada como Vancouver A1, que se revisó de inmediato a un vástago no cementado recubierto de hidroxiapatita convencional (MetaFixTM) el mismo día de la cirugía. Además, hubo dos (2%) fracturas de calcar incompletas intraoperatorias (Vancouver A2) de las cuales solo una requirió cerclaje con alambre y descarga parcial durante 30 días. Estos dos casos ocurrieron en el momento de la inserción del vástago y ninguno de ellos requirió un procedimiento quirúrgico posterior.
En el grupo CFPTM, hubo tres casos de FPPI. Un caso con fractura incompleta del calcar ocurrió durante la inserción definitiva del vástago, y fue tratado con cerclaje múltiple. El segundo caso fue diagnosticado en la radiografía posoperatoria inmediata, se trataba de una fractura diafisaria femoral no desplazada, que no requirió tratamiento quirúrgico distinto de la descarga de peso corporal. El tercer caso ocurrió durante el raspado progresivo y se clasificó como Vancouver C3, por lo que finalmente no se pudo insertar el vástago CFPTM. Por lo tanto, se revisó a un vástago convencional no cementado recubierto completamente poroso (LCU, Waldemar Link GmbH & Co, Hamburgo, Alemania) asociado a una placa de compresión bloqueada de 4,5 mm. Ninguno de los casos requirió un nuevo procedimiento quirúrgico ni revisión del vástago femoral.
Material y métodos
Con el objetivo de analizar los problemas técnicos encontrados al reconstruir el fémur proximal de pacientes con artrosis secundaria a displasia congénita de cadera tratados con una ATC utilizando un vástago corto, se analizó prospectivamente una serie consecutiva de 116 casos con diagnóstico de displasia de cadera tratados con tallo de conservación cervicometafisaria tipo 2B.42
La población de pacientes consistió en 11 mujeres y 6 hombres con una edad promedio de 43 años (DE ± 9.97). En cinco casos, la displasia de cadera fue bilateral; en uno caso, se realizó ATC bilateral en un tiempo y, en cuatro de estas caderas, se realizó un tratamiento quirúrgico secuencial en diferentes etapas debido a las posibles complicaciones de cirugías bilaterales complejas en un tiempo que requieren reconstrucciones sustanciales. El IMC promedio fue de 27 kg/m2 (DE ± 4,50). Cuatro casos presentaron antecedente de osteotomía pélvica durante la infancia (2 osteotomías de Salter y 2 de Chiari), mientras que cuatro casos habían sido sometidos a una osteotomía desrotadora y una osteotomía varizante de cuello femoral. El seguimiento medio fue de 41.22 meses (rango 24-61).
La evaluación imagenológica se realizó mediante una radiografía anteroposterior de la pelvis, una vista axial lateral de Dunn modificada (cadera en 45° de flexión, pie en rotación neutra) y una vista de falso perfil. El grado de displasia de cadera se clasificó según lo descrito por Hartofilakidis,43 el ángulo centro-borde lateral de Wiberg y la clasificación de Crowe.44,45 El grado de degeneración artrósica preoperatoria se caracterizó con la clasificación de Tönnis.30 El ángulo centro-borde lateral promedio fue de 5,37° (DE ± 6,97). Ocho casos se calificaron como Crowe 1, cuatro como Crowe 2 y 10 como Crowe 3. De igual manera, 10 caderas se clasificaron como Hartofilakidis A, 10 como B y dos como C. La discrepancia de longitud de miembros inferiores media preoperatoria, que se evaluó mediante la medición de la distancia entre la línea entre las imágenes en lágrima y el centro de la cabeza femoral, fue de 17,33 mm (DE ± 10,87).20 El ángulo cervicodiafisario anteroposterior preoperatorio general fue de 140,6° (DE ± 6,32), mientras que la diferencia de compensación preoperatoria media entre el lado contralateral y el lado afectado fue de 5,3 mm (DE ± 8,44).21
Se registraron las complicaciones intraoperatorias y posoperatorias relacionadas con el procedimiento quirúrgico. El aflojamiento de los componentes acetabular y femoral se evaluó según los métodos descritos por De Lee y Charnley,46 y por Gruen y cols.,47 respectivamente, comparando la radiografía posoperatoria inmediata con la obtenida en el último seguimiento. La evaluación radiográfica de la fijación del vástago se evaluó de acuerdo con Engh y cols.36 Se consideró falla terapéutica a cualquier reoperación realizada para corregir las secuelas indeseables de la cirugía previa, con o sin la adición o extracción, o recambio de componentes.
Todos los pacientes mostraron una mejoría estadísticamente significativa cuando se compararon los valores preoperatorios y posoperatorios del HHSm (54,19 vs. 94,57; p = 0,0001) y de escala analógica visual de dolor (8,71 vs. 0,71; p = 0,0003). No se encontraron casos de dolor de muslo, inestabilidad o infección. Se diagnosticó un caso de aflojamiento del cotilo y un caso de fractura periprotésica de fémur a los 8 meses y 45 días, respectivamente. La supervivencia global fue del 84,7% a los 5 años (IC95% 64,4-105,3) considerando revisión por cualquier motivo como falla terapéutica. Cuando se evaluó el rendimiento del vástago considerando como falla a la reoperación por aflojamiento del tallo solamente, la tasa de supervivencia fue del 100% a los 5 años (Figura 8).

Las deformidades femorales proximales son generalmente una consecuencia de enfermedades del desarrollo de la cadera durante la infancia, fracasos de osteotomías previas o secuelas de fracturas (Figura 9).
Las anomalías anatómicas del fémur proximal pueden ser un desafío para lograr una reconstrucción biomecánica adecuada. Dificultades técnicas, tiempo quirúrgico y abordaje prolongado, altas tasas de complicaciones, necesidad de más de una cirugía y malos resultados funcionales se han relacionado con este procedimiento quirúrgico.
Se analizaron prospectivamente 31 pacientes (35 caderas) con deformidades femorales proximales tratados con ATC primaria no cementada utilizando un vástago corto con fijación cervicometafisaria (MiniHipTM). Hubo 19 pacientes masculinos (23 caderas) y 12 femeninos (12 caderas), con un IMC medio de 26,7 ± 4,1 kg/m2. Doce casos (38,7%) tenían un antecedente de procedimiento quirúrgico, y seis de ellos fueron osteotomías infantiles fallidas. La edad media de la serie fue de 44 ± 12 años, el seguimiento medio fue de 81 ± 27 meses y no hubo pérdidas de seguimiento de ningún paciente. Las deformidades femorales proximales se categorizaron de acuerdo con una clasificación de Berry modificada.48 El ángulo cervicodiafisario femoral preoperatorio varió entre 90° y 157°. La discrepancia preoperatoria promedio en la longitud de los miembros inferiores fue de -16,3 mm (rango de -50 a 2). En comparación con la cadera contralateral, la lateralización femoral preoperatoria fue de -7,6 mm en promedio (rango de -28 a 8).
Los resultados clínicos y el dolor se evaluaron utilizando el HHSm49,50 y la escala analógica visual, respectivamente. Se analizaron las radiografías posoperatorias para determinar la presencia de osteólisis, radiolucencias, hundimiento y aflojamiento de los vástagos según el método de Engh.36 También se registraron las complicaciones posoperatorias y la tasa de supervivencia.

A un seguimiento medio de 81 meses, la tasa de supervivencia fue del 97,1% tomando como falla terapéutica a la revisión del vástago por cualquier causa y el 100% tomando al aflojamiento aséptico del componente femoral exclusivamente. No se requirió una osteotomía femoral adicional en ningún caso. El tiempo quirúrgico promedio fue de 66 minutos (rango 45-100). Hubo una mejora significativa en el HHSm al comparar los valores preoperatorios y posoperatorios (47,3 ± 10,6 vs. 92,3 ± 3,7, p = 0,0001).
En cuanto a la evaluación del dolor, el valor medio preoperatorio fue de 8,6 ± 1 y el valor medio posoperatorio fue de 1,1 ± 1,1 (p = 0,0001). La discrepancia de longitud posoperatoria fue, en promedio, de 1 mm (rango de -9 a 18) (p = 0,0001). La lateralización femoral posoperatoria difirió, en promedio, 29 mm (rango de -16 a 20) en comparación con el lado contralateral (p = 0,0001). No se registraron casos de FFPI. No hubo evidencia de osteólisis alrededor de los vástagos femorales. Se observó una radiolucidez del vástago femoral <2 mm de ancho, uniforme, en la zona de Gruen 1, sin relevancia clínica.
Cuatro pacientes presentaron un hundimiento femoral inicial (<3 mm), sin mayor progresión y sin síntomas hasta el último control. De acuerdo con los criterios de Engh,36 todos los vástagos se clasificaron como estables sin signos de aflojamiento al final del seguimiento. Las complicaciones posoperatorias incluyeron un tromboembolismo pulmonar, un dolor ciático neurogénico sin paresia (tipo síndrome de dolor regional complejo), una parálisis transitoria del nervio ciático que se recuperó por completo después de seis meses y dos infecciones articulares periprotésicas agudas que se trataron con éxito con desbridamiento, antibióticos y retención del implante. Un paciente sufrió una fractura femoral periprotésica Vancouver B2, 45 días después de la cirugía y fue revisado con un vástago estriado no cementado modular de fijación distal.
En este estudio de objetivos múltiples, hemos observado que los vástagos cortos de fijación cervicometafisaria logran preservar radiográficamente hasta un 42% el capital óseo femoral, reconstruyen, de manera adecuada, la biomecánica de la cadera con respecto a la contralateral, permiten retornar al deporte de igual forma que un reemplazo de superficie (y, muchas veces, en forma más precoz), con un 97% de supervivencia a mediano plazo, con una tasa de falla no inferior a la de un vástago de preservación cervical parcial e incluso no menor que uno convencional consagrado con 25 años en el mercado, de gran utilidad en la displasia del desarrollo de la cadera y en casos de deformidad del fémur proximal.
A pesar del avance en el diseño de las prótesis y en la técnica quirúrgica, la reconstrucción anatómica de la cadera continúa siendo un desafío considerable. Cuando no se logra una reconstrucción anatómica de la cadera, los resultados suelen ser insatisfactorios.50 Las discrepancias en la longitud y de la lateralización femoral son responsables de generar alteraciones en articulaciones contiguas, como la rodilla o la columna lumbosacra, y representan una de las causas de mayor litigio medicolegal en los Estados Unidos.34,50,51,52 Independientemente del sistema protésico utilizado, todos los vástagos tienen la capacidad de restaurar radiográficamente la biomecánica de la cadera.29 Sin embargo, el vástago corto impresiona ser superior a otros sistemas para restaurar la longitud de los miembros inferiores.
Se ha demostrado29 que el promedio de discrepancia de miembros es de solamente 1,76 mm (rango de -4,7 a +7 mm), mientras que la diferencia de lateralización femoral promedio es de 4,56 mm (rango de -4 a +7) con los vástagos cortos, lo cual es aceptable si se compara con los de otras series en las cuales el control de estos parámetros ha sido menos predecible.53 A diferencia de la artroplastia de superficie, consideramos que la curva de aprendizaje para el vástago corto puede ser superada con rapidez, dándole la oportunidad al paciente de preservar el capital óseo femoral, especialmente en personas jóvenes y activas, con menor posibilidad de complicación intraoperatoria como se ha descrito para el reemplazo de superficie.
El cirujano de cadera actual se encuentra cada vez con más frecuencia ante un paciente activo con demandas funcionales altas que debe satisfacer mediante una correcta elección del implante y un seguimiento periódico alertando sobre los potenciales riesgos relacionados directamente con la intensidad de la actividad física. Existe consenso en la bibliografía sobre los beneficios de la actividad física tanto en pacientes operados como en los no operados. Las recomendaciones actuales hablan de una mayor tasa de complicaciones en aquellos pacientes que participan, luego de la cirugía, en deportes de alta demanda para la articulación, como el tenis individual, fútbol, squash, básquet, correr, karate o vóley.54 Los notables resultados a largo plazo obtenidos con vástagos recubiertos con hidroxiapatita con un 95% de fijación a 25 años de seguimiento y la tasa nula de desgaste con el par de fricción cerámica-cerámica, alientan al uso de un implante con estas condiciones de recubrimiento y superficie que preserve el capital óseo periprotésico.26 Las complicaciones con respecto al nivel de iones en sangre y la ALVAL (acute lymphocytic vasculitis and associated lesions) han limitado, en la actualidad, el uso de prótesis metal-metal (esto es, prótesis de superficie) a pacientes seleccionados de sexo masculino.
Existe evidencia contundente que demuestra que los vástagos femorales de longitud convencional presentan excelentes resultados a corto, mediano y largo plazo.1,55,56 Con el creciente interés en los vástagos femorales cortos no cementados, se realizó un análisis comparativo entre un vástago convencional consagrado en el tiempo y un vástago corto tipo 2B que preserva parcialmente el cuello femoral.38 En este estudio, si bien este último mostró una excelente supervivencia y resultados funcionales similares, preservó el doble de longitud de cuello femoral y tuvo una invasión diafisaria tres veces menor que el vástago de longitud convencional. La radiolucidez femoral metafisaria sintomática se evidenció en el 13,7% de los pacientes del grupo de vástago convencional (20 vs. 0, p = 0,001); sin embargo, no se evidenciaron diferencias significativas en cuanto a la tasa global de FFPI, infección o inestabilidad. Por otra parte, la tasa de aflojamiento aséptico fue más frecuente en el grupo de vástago convencional que en el grupo de vástago corto [5 (3,4%) vs. 0, p = 0,06)]. Analizando el posible sesgo de selección de pacientes entre las ATC de vástago corto y convencional, Steinbrück y cols.57 armonizaron los factores de confusión relacionados con la demografía del paciente (como la edad, el sexo), el volumen de cirugías y la superficie de fricción articular mediante el pareamiento por puntaje de propensión, incluyendo solamente datos de hospitales con volumen anual conocido de casos de ATC primarios. Usando el método de supervivencia de Kaplan-Meier para estimar la probabilidad acumulada de revisión, los autores mostraron que, cuando se usaron los datos brutos, el grupo de vástago corto tuvo una probabilidad acumulada de revisión más baja que el grupo de vástago convencional hasta cuatro años después de la cirugía (p = 0,0001). Los autores concluyeron en que la ATC de vástago corto no presentaba ninguna desventaja perceptible en comparación con el vástago convencional en términos de revisión quirúrgica en el corto y mediano plazo.
La asociación entre una ATC con vástago corto y una mayor incidencia de fractura periprotésica es disímil en la bibliografía. Li y cols.58 reportaron una tasa de FPPI del 7% utilizando la prótesis CFPTM, que fueron tratadas de manera conservadora, en todos los casos, sin necesidad de revisión a un seguimiento medio de 4.7 años. Creemos que los errores técnicos, como un nivel incorrecto de osteotomía cervical (demasiado cercana al trocánter menor) y un punto de entrada inadecuado durante la preparación del canal femoral, son cruciales en los vástagos cortos y con forma curva, para evitar un crack del calcar o una fractura con extensión diafisaria. Asimismo, vástagos con gran curvatura (tipo “banana”), como el diseño CFPTM, pueden incrementar el riesgo de fractura intraoperatoria. Una osteotomía cervical muy baja puede conducir a la colocación del vástago en una alineación en valgo extremo que, posteriormente, podría fracturar el fémur a nivel diafisario al contactar contra la cortical externa.40 No obstante, este hallazgo aún debe revisarse, ya que la bibliografía disponible no logra determinar si la alineación óptima de los vástagos cortos debe contemplar diversas morfologías femorales para prevenir FFPI.59 Es recomendable, sin embargo, insertar cualquier vástago corto en varo sutilmente para lograr que el tip del implante tenga contacto con la cortical lateral para lograr un tercer punto de apoyo.60
La ATC con una prótesis de vástago corto ya ha demostrado excelentes resultados clínicos y radiológicos a mediano y largo plazo61,62 resultados variables de supervivencia entre el 92,2% y el 100%.63,64,65,66 Sin embargo, no todos los diseños son similares en tamaño y forma;13 por lo tanto, distintas distribuciones de carga hacia el fémur proximal pueden desencadenar diferentes patrones de remodelación ósea, generando diferentes resultados clínicos y radiológicos.13,33Cuando se diagnostica dolor de muslo posoperatorio, entender sus etiologías potenciales es fundamental para seleccionar la modalidad de tratamiento adecuada. Originalmente, se intentó disminuir la rigidez estructural con diseños modernos de vástagos no cementados;67 sin embargo, la transferencia de tensión excesiva derivada de un desajuste en la rigidez a la flexión ha sido una preocupación en términos de alteraciones mecánicas en el módulo de elasticidad del fémur proximal, y la generación de dolor es una consecuencia potencial.67,68 Con el advenimiento de los vástagos cortos, muchas investigaciones han centrado su atención en el dolor de muslo y han aparecido muchas teorías más recientes para explicar su génesis.13,33 En algunas situaciones, las radiografías posoperatorias pueden mostrar hipertrofia cortical como consecuencia de la remodelación ósea que casi siempre es un evento asintomático. Maier y cols. han analizado los resultados clínicos y radiológicos de sus primeras 100 ATC consecutivas con el vástago Fitmore® (Zimmer, Warsaw, IN, EE.UU.).69 Tras un seguimiento medio de 3.3 años (rango 2-4.4), la supervivencia fue del 100% tomando la revisión por cualquier motivo como falla, sin reportar aflojamiento del componente femoral. Sin embargo, se observó una hipertrofia cortical en 50 caderas, predominantemente en las zonas 3 y 5 de Gruen.47,69De ellos, dos pacientes refirieron dolor moderado en el muslo que se agudizó durante el ejercicio físico. Dicho esto, en la Argentina, se ha reportado un caso de fractura por estrés inusual en un hombre de 43 años de edad, golfista profesional, en la punta distal lateral de un vástago corto no cementado con fijación metafisaria70 (Figura 10).

Después de descartar infección y aflojamiento, los autores sugieren a los cirujanos reconstructivos ser conscientes de la existencia de fracturas periprotésicas por estrés como fuente de dolor en el muslo (a veces insospechada) y, a pesar de ser poco frecuentes, siempre deben contemplarse, debido a que estos casos pueden ser manejados de forma conservadora con reposo y descarga parcial. Se sugiere, como ya se mencionó, alinear el vástago sutilmente en varo para distribuir las cargas de igual forma en el calcar medial y la cortical femoral lateral.42,71
Históricamente, se han empleado muchos sistemas protésicos para el tratamiento de la coxartrosis displásica. Sin embargo, el patrón de referencia para su tratamiento sigue siendo un tema de debate, ya que las alteraciones anatómicas del fémur proximal (coxa valga extrema, coxa vara por osteotomía previa, osteosíntesis previa, anteversión femoral aumentada, discrepancia de longitud de miembros inferiores marcada, etc.) hacen que la selección de los implantes sea compleja.72 La discordancia anatómica femoral proximal-distal que se encuentra en las caderas displásicas suele plantear un desafío cuando se decide el vástago para reconstruir el fémur (Figura 11).

Los componentes femorales no cementados de longitud convencional se basan en un contacto proximal adecuado entre el hueso y el huésped, lo que requiere un ajuste y un relleno excelentes con resistencia al torque de rotación para restablecer la biomecánica de la cadera. No obstante, el potencial stress shielding permanece latente y podría causar una deficiencia masiva de capital óseo femoral, lo que hace que la cirugía de revisión sea un nuevo desafío en el futuro.73,74 En este sentido, se han diseñado componentes femorales modulares alternativos con recubrimiento proximal y fijación metafisaria, como el S-ROM (DePuy). Aunque este implante permite una adecuada reconstrucción al combinar la anatomía proximal distal, tiene el problema de la modularidad. Dado que la mayoría de los pacientes con artrosis displásica son muy jóvenes, es probable que sea necesaria una cirugía de revisión a largo plazo y lo ideal es que no existan interfaces metálicas que puedan generar debris y desgaste extra al desgaste del polietileno. En este escenario, ahorrar capital óseo utilizando vástagos cortos que preservan el cuello femoral permitiría una reconstrucción final más fácil.75 Los vástagos cortos han demostrado su utilidad para reconstruir la biomecánica de la cadera en casos de displasia con una baja prevalencia de alteraciones óseas y una baja tasa de cirugía de revisión.76
Las deformidades del fémur proximal pueden ocurrir en cualquier nivel. Asimismo, aumentan la dificultad técnica y presentan un elevado riesgo de complicaciones intraoperatorias, como fracturas o perforación cortical, sobre todo cuando existen elementos de osteosíntesis previos de larga data (Figura 12).

El tratamiento del paciente con una deformidad femoral proximal requiere criterio. Los esfuerzos para restituir la anatomía son imperativos, ya que las deformidades residuales no corregidas pueden tener consecuencias biomecánicas adversas. Hemos observado a lo largo de nuestra experiencia con vástagos cortos que dichos implantes evidencian ventajas en los casos con deformidades del fémur proximal, pueden evitar osteotomías femorales concomitantes o bien por tener la capacidad de insertarse evitando la extracción de implantes previos en forma total o parcial.45,77,78Adicionalmente, pueden compensar deformidades extrarticulares a nivel diafisario (más distales).
1. La preservación ósea asociada con el uso de vástagos cortos podría traer beneficios a largo plazo en pacientes jóvenes con alta demanda funcional.
2. De manera similar a los vástagos de longitud convencional y prótesis de superficie, el uso de un vástago corto restaura la biomecánica de la cadera de manera eficaz.
3. Un vástago corto tipo 2B ha logrado obtener resultados excelentes de supervivencia a los 2-5 años de seguimiento, con un 1% de falla.
4. Al igual que una prótesis de superficie, los vástagos cortos permiten un retorno temprano a la actividad física pretendida por los pacientes jóvenes con artrosis avanzada de cadera.
5. Un vástago corto con preservación parcial del cuello femoral mostró excelentes tasas de supervivencia y resultados funcionales similares a un vástago convencional consagrado en el seguimiento a medio plazo; sin embargo, evidenció una menor tasa de complicaciones.
6. La ATC con un vástago corto tipo 2B para el tratamiento de la artrosis displásica plantearía muy pocos problemas técnicos intraoperatorios, resulta una alternativa útil para la reconstrucción femoral.
7. En escenarios complejos con deformidades del fémur proximal, la utilización de vástagos cortos evidencia ventajas, evitando la necesidad de osteotomías correctivas preoperatorias e intraoperatorias.
Luego de haber hecho un análisis de la experiencia institucional con vástagos cortos a lo largo de 10 años, los autores de este ensayo creen que la indicación de este tipo de implante femoral está justificada en pacientes jóvenes y activos, no con la intención de superar los resultados probados con implantes convencionales confiables, sino para reproducirlos con un menor consumo de capital óseo femoral.
Nivel de
Evidencia: IV
Level of Evidence: IV
Conflicto de intereses: Los
autores no declaran conflictos de intereses.
Cómo
citar este artículo: Lucero CM, Slullitel PA,
Díaz-Dilernia F, Zanotti G, Comba F, Buttaro M. Vástagos femorales cortos para
el reemplazo total de cadera primario en pacientes jóvenes. Resultados clínicos
y biomecánicos. Rev Asoc Argent Ortop
Traumatol 2023;88(2):224-251. https://doi.org/10.15417/issn.1852-7434.2023.88.2.1725
cm.lucero@hotmail.com















