

INSTRUCCIÓN ORTOPÉDICA DE POSGRADO - IMÁGENES. PRESENTACIÓN DEL CASO
Presentación del caso
Revista de la Asociación Argentina de Ortopedia y Traumatología
Asociación Argentina de Ortopedia y Traumatología, Argentina
ISSN-e: 1852-7434
Periodicidad: Bimestral
vol. 88, núm. 2, 2023
Autor de correspondencia: rodrigo_re@hotmail.com

Cómo citar este artículo: Re R, Iglesias SL, Allende BL. Instrucción Ortopédica de Posgrado - Imágenes. Presentación del caso. Rev Asoc Argent Ortop Traumatol 2023;88(2):130-131. https://doi.org/10.15417/issn.1852-7434.2023.88.2.1730
Resolución en la página 257
Mujer de 28 años, oriunda de La Rioja, de profesión enfermera de una Unidad de Terapia Intensiva. Consulta por coxalgia derecha progresiva de un año de evolución. Refiere limitación al caminar y que últimamente debe perma-necer en reposo. Fue diagnosticada con síndrome de fricción acetabular y la respuesta al tratamiento analgésico fue pobre. Le habían recomendado una artroscopia por lo que acudió a nuestra institución.
En la consulta, refiere dolor progresivo más intenso, con mucha dificultad para la marcha. Durante el examen físico, se detecta dolor a los movimientos activos y pasivos. No se palpan tumoraciones y no refiere antecedente de trauma.
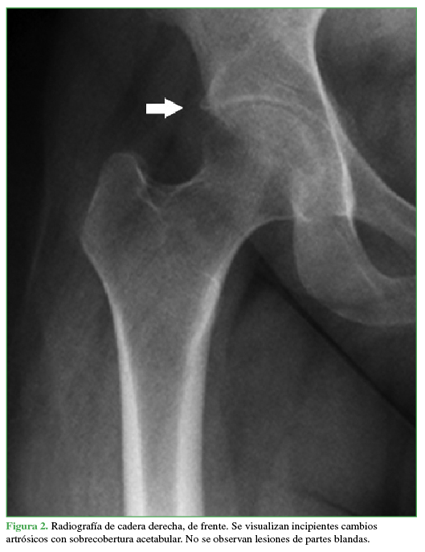
Se solicitan radiografías panorámica de pelvis (Figura 1) y de cadera derecha, de frente (Figura 2).


HALLAZGOS E INTERPRETACIÓN DE LOS ESTUDIOS POR IMÁGENES
Las radiografías panorámica de pelvis y de cadera derecha, de frente muestran incipientes cambios artrósicos con mínima sobrecobertura acetabular. No se visualizan lesiones líticas ni blásticas.
Debido a la persistencia del dolor se completan los estudios por imágenes con una resonancia magnética de cadera derecha.
Notas de autor
rodrigo_re@hotmail.com
Información adicional
Cómo
citar este artículo: Re R, Iglesias SL, Allende BL.
Instrucción Ortopédica de Posgrado - Imágenes. Presentación del caso. Rev Asoc Argent Ortop Traumatol 2023;88(2):130-131. https://doi.org/10.15417/issn.1852-7434.2023.88.2.1730

