REPORTES DE CASO

Fibrosarcoma en ovinos de la zona altiplánica del Perú: reporte de casos

Ovine fibrosarcoma in the plateau high lands of Peru: Case report

Ruelas-Calloapaza, Domingo Alberto *
Universidad Nacional del Altiplano Puno, Perú
Coila-Añasco, Pedro Ubaldo
Universidad Nacional del Altiplano Puno, Perú
Ruelas-Paredes, Maciel Dina
Universidad Nacional del Altiplano Puno, Perú
Condemayta-Condemayta, Zacarías
Universidad Nacional del Altiplano Puno, Perú

Journal of the Selva Andina Animal Science

Selva Andina Research Society, Bolivia

ISSN: 2311-3766

ISSN-e: 2311-2581

Periodicidad: Bianual

vol. 7, núm. 2, 2020

directoreditoranimalscience@gmail.com

Recepción: 01 Junio 2020

Aprobación: 01 Agosto 2020

Publicación: 01 Octubre 2020



DOI: https://doi.org/10.36610/j.jsaas.2020.070200098

Selva Andina Research Society

Resumen: Las enfermedades neoplásicas afectan notoriamente la salud de los ovinos y por tanto, la rentabilidad de la crianza de esta especie. Con la finalidad de realizar un estudio macro y microscópico de dos casos de cáncer abdominal, se tomó una borrega (caso 1) procedente del distrito de Umachiri, provincia de Melgar, zona norte del departamento de Puno y otra borrega (caso 2) procedente del distrito de Laraqueri, provincia de Puno, zona sur oeste del mismo departamento; ambas zonas pertenecen al sector peruano de la meseta del Collao. Los dos especímenes se encontraban padeciendo de enfermedad crónica caquectizante sin respuesta a ningún esquema terapéutico. Las dos borregas se recibieron como casos patológicos a estudiarse en el Curso de Patología Veterinaria General de la Facultad de Medicina Veterinaria y Zootecnia (FMVZ) de la Universidad Nacional del Altiplano de Puno (UNAP). Ambos animales fueron sacrificados por eutanasia utilizando pentobarbital sódico. Se hizo la necropsia de ambos casos en el Laboratorio de Patología macroscópica de la FMVZ, UNAP, se tomaron muestras para el estudio microscópico; las muestras se procesaron en el Laboratorio de Histopatología de la mencionada facultad. Los resultados fueron los siguientes: macroscópicamente, en la cavidad abdominal del caso 1, se observó numerosos nódulos blanquecinos de diferentes tamaños, bordes irregulares, firmes al tacto e invadiendo tejidos adyacentes incluyendo ganglios linfáticos mesentéricos; en el mesenterio del caso 2, se observó un solo nódulo blanquecino de consistencia firme, con bordes muy irregulares, invadiendo algunas asas intestinales cercanas; microscópicamente, en ambos casos se observó tejido fibroso anaplásico, conformado por fibroblastos pleomórficos, atípicos y algunos se observaron multinucleados; en el caso 1, además, se constataron numerosos focos necróticos en proceso de calcificación. Estos hallazgos macroscópicos de lesiones nodulares pálidos, de forma irregular, firmes al tacto y resistentes al corte; que al examinarlas microscópicamente se observó tejido fibroso pobremente diferenciado, en estos dos casos estudiados, permiten concluir que corresponden a fibrosarcoma, siendo el caso 1, de carácter terminal.

Palabras clave: Cáncer de tejido fibroso, anaplasia, metástasis, neoplasia de fibroblastos, tumor maligno mesenquimal.

Abstract: Neoplastic diseases affect notoriously the health of the sheep and therefore, the profitability of the breeding of this species. In order to perform a macro and microscopic study of two cases of abdominal cancer, a sheep was taken (case 1) from the district of Umachiri, province of Melgar, north zone of the department of Puno, and another sheep (case 2) from the district of Laraqueri, province of Puno, southwest area of the same department; both zones belong to the Peruvian sector of the Collao plateau high lands. The two specimens were suffering from chronic weakening disease without response to any therapeutic scheme. The two ewes were received as pathological cases to be studied in the Course of General Veterinary Pathology of the Faculty of Veterinary Medicine and Zootechnics (FMVZ) of the National University of Altiplano in Puno city (UNAP). Both animals were sacrificed by euthanasia using sodium pentobarbital. Necropsy was performed in both cases in the FMVZ's Laboratory of Macroscopic Pathology of UNAP, tumor tissue samples were taken for the microscopic study; The samples were processed in the Histopathology Laboratory of the aforementioned faculty. The results were as follows: macroscopically, in the abdominal cavity of case 1, numerous whitish nodules were observed, with irregular edges, firm to the touch invading adjacent tissues including numerous mesenteric lymph nodes; in the mesentery of case 2, a single whitish nodule of firm consistency was observed, with very irregular borders and quite invasive to adjacent intestinal loops; microscopically, in both cases, anaplastic fibrous tissue was observed, conformed by pleomorphic fibroblasts, some multinucleated and atypical; in case 1, in addition, numerous necrotic tumor tissue in process of calcification foci were found. These macroscopic findings of nodular-pale lesions, irregularly shaped, firm to the touch, and resistant to cut; that when examined microscopically, poorly differentiated fibrous tissue was observed, in these two cases studied, allow us to conclude that they correspond to fibrosarcoma and the case 1 was a terminal one.

Keywords: Fibrous tissue cancer, anaplasia, metastasis, neoplastic fibroblast, mesenchymal malignant tumor.

Introducción

El ovino, un animal cosmopolita productor de carne, y lana principalmente, cuya crianza en el Perú es una actividad competitiva, rentable1 aun cuando su población viene reduciéndose de 23 millones en el año 1961 a 9.5 millones al año 20122. La región Puno es el primer productor de ovinos con el 26% de la población nacional3.

Diversas dolencias causan el deterioro de la salud de estos animales, así, por ejemplo, las enfermedades tumorales, como carcinoma pulmonar ovino (CPO), una enfermedad no solo altamente prevalente en el país, sino también muy contagiosa, mortal, causante de grandes pérdidas económicas en la industria ovejera4,5, pero también, otros tipos de cánceres como el carcinoma de células escamosas afectan a esta especie6.

El cáncer del tejido fibroso, conocido como fibrosarcoma, según la Organización Mundial de la Salud (OMS), es una enfermedad tumoral altamente maligna de origen mesenquimal en la que está ausente otro tipo de estructuras histológicas, tales como hueso, cartílago7, consiste en la proliferación patológica de fibroblastos8, afecta frecuentemente a perros y gatos, con poca frecuencia a equinos, bovinos y cerdos, muy raramente a otras especies9. La neoplasia se deriva del tejido conectivo, se caracteriza por la anaplasia de tejido fibroso10, este tipo de neoplasias no tiene ninguna predilección por el sexo del animal, frecuentemente afecta a animales adultos, puede desarrollarse en cualquier parte del cuerpo9. El tipo de crecimiento de esta neoplasia puede ser circunscrito o infiltrativo, presentar una coloración blanquecina o grisácea, puede ser suave o firme a la palpación, generalmente resistente al corte, no posee cápsula de tejido conectivo11. Histológicamente, el fibrosarcoma se caracteriza por una red entrelazada de fibras colágenas12,13, otros componentes de tejido conectivo y fibroblastos cancerosos. Este tipo de cáncer puede presentarse con variados grados de diferenciación, en algunos casos de este tipo de cáncer clasificados como fibrosarcomas diferenciados, se observan fibroblastos fusiformes alargados dispuestos en fascículos entrecruzados, sin atipias celulares ni muchas figuras mitóticas, pero los núcleos celulares son hipercromáticos12, otros casos tipificados como de malignidad intermedia o medianamente diferenciados, presentan ciertas atipias celulares, en los casos considerados como fibrosarcomas pobremente diferenciados, se nota evidente actividad mitótica de fibroblastos, atipias celulares, un notable estroma conectivo14,15. La etiología del fibrosarcoma se ha relacionado con varias sustancias carcinógenas, la administración subcutánea de vacunas, los implantes de microchips, las inflamaciones crónicas18, la radiación ionizante, los citostáticos16 y los desórdenes genéticos, ocurriendo la mutación del gen p53 o del gen RB113 y el retrovirus del sarcoma en los pollos17.

En el contexto señalado, el objetivo de este reporte fue la caracterización macroscópica y microscópica de dos casos de fibrosarcoma en ovinos de la zona altiplánica del departamento de Puno, Perú.

Descripción de los casos clínicos

Animales e Historia Clínica. Para el reporte se tomaron dos casos de fibrosarcoma en ovinos de dos zonas del altiplano peruano.

Caso 1. Una borrega de raza Corriedale de 4 años de edad, procedente del Centro de Investigación y Producción (CIP) Chuquibambilla de la Universidad Nacional del Altiplano-Puno (UNAP), ubicado en el distrito de Umachiri, provincia de Melgar, zona norte del departamento de Puno. El animal sufrió de una enfermedad muy crónica, anorexia y muy malas condiciones físicas, no respondió a ningún esquema terapéutico, al final entró en postración y se sacrificó.

Caso 2. Una borrega mestiza, de 5 años de edad, procedente de una comunidad campesina del distrito de Laraqueri, provincia de Puno, zona suroeste del departamento de Puno, que sufrió una enfermedad crónica, malas condiciones físicas y sin responder al tratamiento.

La anamnesis y el examen clínico de ambos animales revelaron el padecimiento de enfermedad crónica caquectizante y se recibieron como casos patológicos para ser estudiados en el curso de Patología Veterinaria General de la Facultad de Medicina Veterinaria y Zootecnia (FMVZ), UNAP.

Muestreo

Ambos especímenes se sacrificados utilizando pentobarbital sódico y se les practicó la técnica de necropsia a fin de caracterizar e interpretar macroscópicamente las lesiones y se tomaron muestras de los tejidos tumorales y ganglios regionales mesentéricos para el estudio histopatológico.

Estudio Patológico

El estudio patológico macroscópico de ambos especímenes se efectuó en el Laboratorio de Patología Macroscópica de la FMVZ, UNAP, a fin de interpretar las características macroscópicas de las lesiones tumorales de ambos casos e identificar las posibles metástasis en ganglios regionales. Se tomaron muestras tanto del tejido tumoral como de los ganglios regionales fijándolos en formol al 12%, se embebieron en parafina, e hicieron cortes de 5 µm, tiñéndose con hematoxilina-eosina, se interpretaron las características microscópicas en el Laboratorio de Histopatología, FMVZ, UNAP.

Patología Macroscópica

Caso 1. El espécimen se encontraba en estado muy caquéctico, entró en postración y se sacrificó. El examen de los órganos de la cavidad abdominal reveló la presencia de numerosos nódulos cuyos tamaños variaban desde apenas visibles hasta aproximadamente 5 cm. De diámetro en todos los órganos de esta cavidad (figura 1), estos nódulos tenían bodes irregulares, coloración pálida, sin cápsula, consistencia firme y bastante resistentes al corte. Algunos de estos nódulos fueron de consistencia muy firme, cierta apariencia pétrea y exagerada resistencia al corte. Numerosos ganglios linfáticos mesentéricos se encontraron aumentadas de tamaño, consistencia firme, resistentes al corte y con apariencia semejante a los nódulos presentes en otros órganos abdominales.

Caso1, imagen
macroscópica de hígado, nótese numerosos nódulos pálidos a grisáceos
Figura 1
Caso1, imagen macroscópica de hígado, nótese numerosos nódulos pálidos a grisáceos

Caso 2. El espécimen se encontraba bastante caquéctico, en el examen macroscópico se observó la presencia de un nódulo con bordes extremadamente irregulares, de coloración pálida, consistencia firme, resistente al corte e invadiendo notoriamente algunos tejidos adyacentes como el mesenterio y algunas asas intestinales (figura 2) causando la reducción del lumen de los segmentos afectados. Un ganglio linfático mesentérico cercano a este nódulo se encontró muy tumefacto, de coloración pálida, resistente al corte, con apariencia similar al nódulo original y rodeado por una sustancia de apariencia gelatinosa (figura 3).

Caso 2, imagen
macroscópica del corte de un nódulo pálido invadiendo tejido adyacente
Figura 2
Caso 2, imagen macroscópica del corte de un nódulo pálido invadiendo tejido adyacente

Caso 2, imagen
macroscópica de linoadenomegalia en ganglio linfático mesentérico
Figura 3
Caso 2, imagen macroscópica de linoadenomegalia en ganglio linfático mesentérico

Histopatología

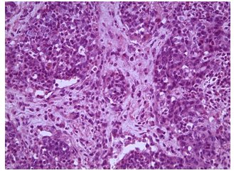
Caso 1. Microscópicamente, en los nódulos examinados se observó tejido fibroso muy desordenado, fibroblastos notoriamente polimórficos, alargados u ovalados y algunos de ellos con núcleos hipercromáticos, se notaron algunas figuras mitóticas de fibroblastos, así como algunas de estas células multinucleadas (figura 4) y bastante cantidad de componentes de la matriz extracelular. Otra característica histopatológica de este caso, fue la presencia de focos de necrosis del tejido tumoral de apariencia amorfa y de tonalidad azulina debido al proceso de calcificación (figura 5). En los ganglios linfáticos muestreados se observó infiltración de tejido tumoral fibrosarcomatosa con características similares a los hallazgos en los nódulos tumorales principales, pudiendo distinguirse algunas zonas de tejido linfoide, con apariencia relativamente normal rodeando los micronódulos malignos, se observaron, también, zonas de necrosis en proceso de calcificación distrófica.

Caso 1. Imagen
microscópica de  

fibrosarcoma, obsérvese
fibroblastos con núcleo  

hipercromático, alargado u
ovalado y algunos  

fibroblastos multinucleados
(H-E, 40x)
Figura 4
Caso 1. Imagen microscópica de fibrosarcoma, obsérvese fibroblastos con núcleo hipercromático, alargado u ovalado y algunos fibroblastos multinucleados (H-E, 40x)

Caso 1. Imagen microscópica de  

fibrosarcoma, nótese zonas de
necrosis en proceso de calcificación rodeadas de fibroblastos anaplásicos  

(H-E, 40x)
Figura 5
Caso 1. Imagen microscópica de fibrosarcoma, nótese zonas de necrosis en proceso de calcificación rodeadas de fibroblastos anaplásicos (H-E, 40x)

Caso 2. Se observó disposición desordenada de fibroblastos notoriamente pleomórficos rodeados de gruesas haces de fibras de tejido conectivo, se evidenciaron también fibroblastos multinucleados y/o hipercromáticos. En el ganglio linfático regional muestreado, se observó tejido fibroso anaplásico con características similares al nódulo tumoral in situ, rodeado por tejido linfoide característico de cualquier ganglio linfático (figura 6).

Caso 2. Imagen
microscópica de  

fibrosarcoma metastásica en
ganglio mesentérico, nótese los micronódulos neoplásicos rodeadas de tejido
linfoide (H – E, 40x)
Figura 6
Caso 2. Imagen microscópica de fibrosarcoma metastásica en ganglio mesentérico, nótese los micronódulos neoplásicos rodeadas de tejido linfoide (H – E, 40x)

Discusión

Patología Macroscópica

Los dos casos de cáncer de tejido fibroso en ovinos de la zona altiplánica del Perú, materia del presente reporte, el caso 1 con múltiples metástasis a varios órganos y ganglios linfáticos regionales y el caso 2 con un solo nódulo original y metástasis en un ganglio linfático mesentérico, se observaron en la cavidad abdominal. En las diversas especies domésticas, los cánceres de tejido conectivo, pueden ubicarse en diferentes segmentos del cuerpo, así por ejemplo Vallejo Timarán et al.9 reportaron un fibrosarcoma dermal en el borde mandibular de un bovino en Colombia, en tanto que Valentine & Martin18 reportaron tumores de este tipo ubicados en labios, encías, maxilar y córnea en alpacas y llamas, otros casos pueden estar ubicados en tejidos blandos profundos o cerca de los huesos10, en los órganos genitales como la vulva o la vagina23 o en cualquier otra parte del cuerpo8,9,16,20.

La morfología macroscópica de los dos casos de sarcomas de tejido conectivo en ovinos, presentando bordes irregulares, superficie irregular y la carencia de cápsula fibrosa, son características de este tipo de tumores23,24, en los dos casos estudiados, las neoplasias fueron infiltrantes a los tejidos adyacentes y particularmente, el caso 1 fue muy invasivo y esta particularidad morfológica corresponde a los fibrosarcomas21. La tonalidad del cáncer de tejido conectivo suele ser de blanquecina a grisácea8,18,21 y la consistencia generalmente firme9,16, estas características macroscópicas fueron también observadas en los especímenes estudiado; sin embargo, en el caso 1, los nódulos se notaron de consistencia bastante firme y al cortarlas se notó fuerte resistencia y cierta sonoridad crepitante y cierta apariencia pétrea.

La capacidad metastásica de cualquier cáncer, como por ejemplo el fibrosarcoma, es característica23,21, aunque algunos casos de fibrosarcoma no necesariamente causen matástasis8, pero los casos del presente reporte, si lo fueron y especialmente el caso 1 en el que se observó numerosos nódulos metastásicos en varios órganos incluyendo los ganglios linfáticos de la cavidad abdominal.

Histopatología

La apariencia histopatológica de tejido fibroso pobremente diferenciado conformada por fibroblastos que adoptan formas muy alargadas en algunos casos y ovaladas en otros casos, rodeadas de una matriz extracelular de gruesos haces de fibras, como se observó en ambos casos reportados, son características de los tumores malignos del tejido conectivo24,23. La presencia de fibroblastos conteniendo más de un núcleo y/o más intensamente coloreados o hipercromáticos, son características de los cánceres de tejido fibroso23,25,26, así como la presencia de algunas figuras mitóticas se observan en este tipo de tumores14,27 y son particularidades que se observaron en estos dos casos. Sin embargo, en el caso 1, motivo de este reporte, fue la presencia de numerosos focos necróticos, en algunos de los nódulos, con apariencia histopatológica amorfa adoptando diversas tonalidades azulinas denotando un evidente proceso de calcificación distrófica, este tipo de lesiones necróticas en los tumores malignos, generalmente se deben a la hipoxia y/o anoxia por la deficiencia de angiogénesis en la masa neoplásica28,29,30.

En el altiplano peruano, el presente, es el primer reporte de cáncer de tejido fibroso en ovinos, y como tal constituye un aporte a la oncología veterinaria. En esta zona se presentan diferentes tipos de cánceres como el carcinoma pulmonar5, de etiología retroviral y el de mayor prevalencia en ovinos, y el carcinoma de células escamosas6, cuya etiología, muy probablemente sea la radiación ionizante. Establecer con certeza la etiología de estos dos casos de fibrosarcoma resulta complicado, sin embargo, como factores de riesgo de este tipo de patologías se han planteado algunos de carácter genético, infeccioso y ambiental16, y como factores determinantes, las mutaciones causadas por la radiación ionizante y ciertos carcinógenos químicos16,17.

Las características patológicas de estos nódulos de coloración blanquecina a grisácea, de consistencia firme y de cierta apariencia pétrea como en el caso 1, con bordes notoriamente irregulares y bastante infiltrantes al tejido adyacente, acompañadas de linfadenopatías en la cavidad abdominal de ambas borregas, neoplasias en las que a la observación microscópica se notó un tejido claramente anaplásico conformado por fibroblastos pleomórficos, atípicos, conteniendo núcleos hipercromáticos y/o multinucleados y haces de fibras de tejido conectivo desordenadamente dispuestos en las zonas intersticiales, fueron indicadores que permitieron concluir que estos dos casos corresponden a fibrosarcoma.

Literatura citada

1. Díaz Ramírez RI, Vilcanqui Mamani H, editores. Manual de ovinos y las buenas prácticas 2013 [Internet]. Lima: Ministerio de Agricultura del Perú; 2013 [cited 2019 Oct 9]. Available from: http://agroaldia.minagri.gob.pe/biblioteca/download/pdf/manuales-boletines/ovinos/manual_ovinos1.pdf

2. Vivanco HW. Embryo transfer in sheep's milk and dual purpose. Spermova 2013;3(1):41-4.

3. Díaz Ramírez RI, editor. Sector ovinos en el Perú con perspectivas al 2015. [Internet]. Mendoza: Vº Congreso de Especialistas en Pequeños Rumiantes y Camélidos Sudamericanos; 2007 [cited 2019 Nov 20]. Available from: http://www.produccion-animal.com.ar/produccion_ovina/produccion_ovina/106-diaz_ovinos_peru.pdf

4. Londoñe P, Lenin MH, Rosadio R. Report of an ovine pulmonary adenocarcinoma in a lamb of five months old in Puno, Peru. Rev Investig Vet Peru 2014;25(4):545-50. DOI: https://doi.org/10.15381/rivep.v25i4.10815

5. Rosadio R, Sharp M. Adenomatosis pulmonar ovina: Evidencias de inmunosupresion retro viral. Rev Inv Vet Peru 2000;11(2): 6-23. DOI: https://doi.org/10.15381/rivep.v11i2.7053

6. Ruelas Calloapaza DA, Coila Añasco PU, Ruelas Paredes M, Quiñones García I. Ovine squamous cell carcinoma in peruvian plateau high lands: Report cases. Rev Investig Altoandin 2017;19(3): 351-8. DOI: https://doi.org/10.18271/ria.2017.299

7. Benedito Pérez de Inestrosa T, Fernández Martín E, Fernández Tardáguila E. Fibrosarcoma. Med Gen Fam 2014; 3(8): 230-1.

8. Ozmen O, Sirin Sengoz O, Çinar H, Dolu H. Retrobulbar fibrosarcoma in a sheep. Acta Veterinaria 2016;66(2):265-70. DOI: https://doi.org/10.1515/acve-2016-0023

9. Vallejo Timarán DA, Chaves Velásquez CA, Astaíza Martínez JM, Quintero Parra JM, Chaves Pastas JM. Fibrosarcoma cutáneo en un bovino: reporte de caso. Rev CES Med Zootec 2015;10 (2):214-23.

10. Augsburger D, Nelson PJ, Kalinski T, Udelnow A, Knösel T, Hofstetter M, et al. Current diagnostics and treatment of fibrosarcoma-perspectives for future therapeutic targets and strategies. Oncotarget 2017;8(61):104638-53. DOI: https://doi.org/10.18632/oncotarget.20136

11. González JL, Toni P, Rollán E, Montoya JA, Rodríguez F, Garcia P. Fibrosarcoma esplénico primario en un perro. Avepa 1989;9(2):101-3.

12. Mercado V, Samith A, Ghiringhelli A, Liebig E, Sáez E, Naranjo M, et al. Fibrosarcoma. Rev Otorrinolaringol Cir Cabeza Cuello 2005;65(3): 241-9.

13. Sánchez Acuña G, Cabrera García JL, Gbenou Morgan Y, Domingos Bartolomeu F. Fibrosarcoma en región geniana. Rev Cubana Estomatol 2012;49(2):184-90.

14. Hamdi AVC, Serin G, Aydoǧan A, Birincioǧlu S. Primary vaginal fibroleiomyosarcoma in a 4-year-old Holstein-Friesian cow. Turk J Vet Anim Sci 2010;34(3):307-11. DOI: https://doi.org/10.3906/vet-0812-1

15. Hesaraki S, Abedi Gh, Rismanchi S. Penile fibrosarcoma tumor in a bull. Iran J Vet Res 2010; 11(3):283-6. DOI: https://doi.org/10.22099/ijvr.2010.145

16. Alvin Cano RG. Sarcomas: Etiología y síntomas. Revista Finlay 2012;2(2):116-29.

17. Bossy Wetzel E, Bravo R, Hanahan D. Transcription factors junB and c-jun are selectively up-regulated and functionally implicated in fibrosarcoma development. Genes Dev 1992;6(12A):2340-51. DOI: https://doi.org/10.1101/gad.6.12a.2340

18. Valentine BA, Martin JM. Prevalence of neoplasia in llamas and alpacas ( Oregon State University, 2001-2006 ). J vet Diagn Invest 2007; 19(2):202-4. DOI: https://doi.org/10.1177/104063870701900213

19. Kuru M, Beytut E, Kaya S, Karakurt E, Kaçar C. Vaginal fibrosarcoma in a brown swiss cow. Atatürk Üniversitesi Vet Bil Derg 2016;11(3): 327-31. DOI: https://doi.org/10.17094/ataunivbd.282991

20. Avci H, Yaygingul R, Gultekin M, Epikmen ET, Ural K, Belge A, et al. Primary intestinal fibrosarcoma caused by intestinal perforation in a dog: a case report. Vet Med 2012;57(6):314-9. DOI: https://doi.org/10.17221/6019-VETMED

21. Ahamad B, Azmi S, Sood S, Nashirullah N. Cutaneous fibrosarcoma in a Jersey cross cow. Shanlax International Journal of Veterinary Medicine 2014;2(2):2321-6387.

22. Blasco Alfonso JE, Sales Maicas MA, Pallás Costa Y. Fibrosarcoma paratesticular: una neoplasia maligna muy infrecuente. Actas Urol Esp 2006; 30(7):707-10. DOI: https://doi.org/10.1016/S0210-4806(06)73521-5

23. Ribeiro FTL, Assef MLM, Círio SM. Histopathologic study of cutaneous fibrosarcoma in dogs (Canis familiares, Linnaeus, 1758) with different staining techniques. Rev Acad Ciênc Agrár Ambient 2009;7(3):341-7.

24. Bozkurt MF. Vaginal fibrosarcoma in a dog. Kocatepe Vet J 2013;6(1):83-6. DOI: https://doi.org/10.5578/kvj.5272

25. Musal B, Ulutas P, Aydagan A. Vaginal fibrosar coma in a cow. Ir Vet J 2007;60(7):424-5. DOI: https://doi.org/10.1186/2046-0481-60-7-424

26. Khan Gajdhar S, Thoke B, Rajput S, Gajdhar S, Chaware S, Palit V. Fibrosarcoma of the oral cavity: A case report. Int J Med Res Health Sci 2019;8(4):163-6.

27. Subapriva S, Vairamuthu S, Pazhanivel N, Ravi Sundar GK, Vijayarani K, Gokulakrishnan M. Histopathological and immunohistochemical diag nosis of canine fibrosarcoma. Int J Curr Microbiol Appl Sci 2018;7(6):1376-9. DOI: https://doi.org/10.20546/ijcmas.2018.706.162

28. Khosravi Shahi P, del Castillo Rueda A, Pérez Manga G. Angiogénesis neoplásica. An Med Interna 2008;25(7):366-9.

29. Sánchez Socarrás V. Papel de la angiogénesis en el crecimiento tumoral. Rev Cubana Invest Bio med. 2001;20(3):223-30.

30. Martínez Esquerra JD, Herrera LA. Angiogénesis: VEGF/VEGFRS como blancos terapéuticos en el tratamiento contra el cáncer. Cancerología 2006: 83-96.

Notas

Fuente de financiamiento y Conflictos de intereses: os autores de este trabajo no hemos recibido ningún tipo de financiamiento para el desarrollo de la investigación, ni la autoría ni la publicación de este artículo, por lo que no se genera ningún conflicto de interés.
Agradecimientos: Los autores desean expresar su agradecimiento al Sr. Sergio Quispe Quispe, por su apoyo en el procesamiento histopatológico de las muestras de tejido tumoral.
Aspectos éticos: Durante la ejecución del presente reporte de caso de investigación no se incurrió en faltas. En la intervención hemos tomado en cuenta la sensibilidad humana sin realizar disconformidad, angustia y el dolor de los animales, para ello se tomó el uso del protocolo de anestesia y analgesia adecuada.

____________

ID del artículo: 077/JSAAS/2020

____________

Citar como: J. Selva Andina Anim. Sci. 2020; 7(2):98-106.

____________

Nota del Editor: Journal of the Selva Andina Animal Science (JSAAS) se mantiene neutral con respecto a los reclamos jurisdiccionales publicados en mapas y afiliaciones institucionales.

Notas de autor

* Dirección de contacto: Laboratorio de Patología Veterinaria. Facultad de Medicina Veterinaria y Zootecnia. Universidad Nacional del Altiplano Puno. Av. Panamá No 710, Puno, Perú.Telf: +051-599430 Móvil: 986363361

Domingo Alberto Ruelas-Calloapaza E-mail address: druelasc@yahoo.es

Enlace alternativo

Modelo de publicación sin fines de lucro para conservar la naturaleza académica y abierta de la comunicación científica
HTML generado a partir de XML-JATS4R