

Imágenes en Medicina
Estrategia invasiva en Angina inestable de Alto riesgo
Invasive strategy in high risk unstable Angina
Estrategia invasiva en Angina inestable de Alto riesgo
Revista Peruana de Investigación en Salud, vol. 4, núm. 1, 2020
Universidad Nacional Hermilio Valdizán
Recepción: 12 Diciembre 2019
Aprobación: 28 Enero 2020




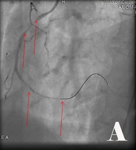
Fig. Abordaje invasivo emergente en paciente con Angina inestable de Alto riesgo y cambios electrocardiográficos atípicos con FEVI muy baja.
Hombre de 58 años, después de un estrés severo en su trabajo comenzó con dolor intenso, retroesternal, irradiado a mandíbula y ambos miembros superiores, sudoración profusa, palidez, vómitos y sensación de muerte inminente con duración de más de una hora. Se recibe por cardiólogo e intensivista en emergencia, con ruidos cardiacos arrítmicos, tercer ruido cardíaco izquierdo y estertores crepitantes finos en ambos bases pulmonares. Se monitoriza cardiovascularmente y las medidas de apoyo como reposo, oximetría, oxigenoterapia y cuidados de su hemodinamia.
En electrocardiogramas, hubo inestabilidad como ST deprimido con T negativa, simétrica, muy profunda en toda la cara anterior (V1,V2,V3,V4,V5,V6) (ECG:I), luego bloqueo de rama izquierda (ECG:II), La troponina, la CPKMB y CPK se mantuvieron normales. El cuadro clínico se hace más intenso y peligroso en unidad de cuidados intensivos coronarios, con ángor mantenido e intenso, palidez, disnea, palpitaciones, sudoración, arritmias, disfunción sistólica de VI e inicia compromiso hemodinámico, se le administra nitroglicerina sublingual y luego intravenosa hasta 0,5 mcg/Kg/min. Se apoya con Dobutamina. En ecocardiograma: fracción ventricular izquierda (FEVI) de 36 %. Por gravedad de cuadro clínico, electrocardiográfico y FEVI, se agilizó la activación del servicio de hemodinámica. Se cumplió abordaje hemodinámico emergente y resultó (Fig.).
Fig. Se visualizó obstrucciones largas proximal y distal de 90 % de coronaria derecha (CD) (2A). Se realizó ACTPs y coloco 2 Stens convencionales (2B). Obstrucción de tercio proximal de 90 % de arteria coronaria de descendente anterior (DA) y del 95 % de la circunfleja izquierda (CX) (2C), se le realizó ACTP y colocó Stens a la DA fármacoactivo pero por el riego-beneficio se decidió no hacer nada en CX (2D).

Es importante que ante la presencia de Angina inestable de Alto riesgo es necesario el intervencionismo invasivo y evitar demoras en la atención, pudiendo llevar a complicaciones desbastadoras o fatales (1,2,3).
Referencias
1.Valle Alonso J, Carlos Alberto González Marante CA, Bandera S. Presentaciones electrocardiográficas atípicas en pacientes con síntomas isquémicos, tiempo de cambiar la estrategia. Rev Cubana de Cardio y Cirugía Cardiovascular [Internet]. 2017[citado 21/12/2019]; 23(3): 43-52 Disponible en: http://www.revcardiologia.sld.cu/index.php/revcardiologia/article/view/713/pdf_103
2.Nelson Leandro Moreno-Ruiz NL. Modificación de los criterios de Sgarbossa para el diagnóstico de infarto agudo de miocardio en presencia de bloqueo de rama izquierda. Rev. Fac. Med.[Internet]. 2015[citado 22/12/2019]; 63(1):151-4.Disponible en: http://www.scielo.org.co/pdf/rfmun/v63n1/v63n1a19.pdf
3.Smith SW. Updates on the electrocardiogram in acute coronary syndromes. Current Emergency and Hospital Medicine Reports.[Internet]. 2013 Mar 1[citado 22/12/ 2019]; 1(1):43-52. Disponible en: https://link.springer.com/content/pdf/10.1007%2Fs40138-012-0003-1.pdf
Información adicional
Revista Peruana de Investigación en Salud: ISSN: 2616 - 6097
Enlace alternativo
http://revistas.unheval.edu.pe/index.php/repis/article/view/597 (html)

